
文章插图

文章插图
在家人的反复劝说下,张女士这才到医院做检查,发现当年蛋大的肿瘤已经疯长到西瓜大,几乎占据整个腹腔,当地医院建议到大医院手术治疗。

文章插图
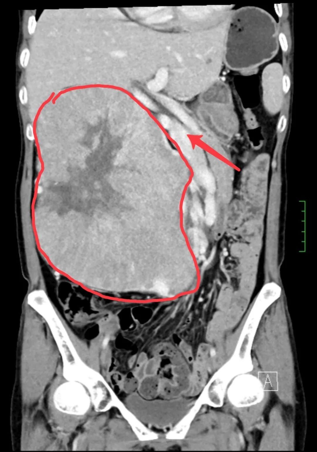
入院后,王建松副主任医师医疗小组详细询问病史并完善相关检查,泌尿系增强CT及血管成像提示:右肾巨大占位,直径约为20cm,足有西瓜大小。由于肿瘤体积过大,腹中其他脏器被挤压移位,失去了正常的解剖结构;肿瘤还压迫下腔静脉、腹主动脉;同时,肿瘤血运丰富,手术难度与风险极高,术中稍有不慎就会造成大出血。

文章插图

文章插图

文章插图
- 周杰伦再获“小情人”?亲友曝光昆凌三胎性别,经纪公司不予回应
- 刚奔现就闹矛盾?大S经纪人发声,“打脸”具俊晔,网友:猜到了
- 41岁卡戴珊太飒,一条缎面遮身,高调“炫腹”!撩长发走路带风
- 曝“嘎子哥”10亿家产不肯给妻子一分!要学李亚鹏娶00后:比潘坏
- 王室“帝后同框”感情和睦,冰释前嫌炫耀婚戒,霸主笑得合不拢嘴
- 5年不发新歌,全球最“壕”女歌手创立的品牌要上市了
- 导演说这才哪到哪,肖战《余生请多指教》小剧场“加量”
- 是亲生的不是后妈,安妮与妈妈达成和解,签约父母公司是“保护”
- 《王牌7》宋亚轩和易烊千玺“同台”:称呼上,看出尊敬
- 伊能静与5岁女儿同框合唱 母女俩卖萌神似“姐妹花”
