文章插图
一名37岁青年女性突发脑梗死 , 经查病因竟是心脏上有个“洞” 。 近日 , 北京协和医院心内科诊断一例由卵圆孔未闭导致的青年脑梗死 , 并为患者成功实施了卵圆孔未闭封堵术 , 消除了这个“隐匿性杀手” , 解除了患者的后顾之忧 。
2020年9月某晚 , 37岁的李女士睡前突发头晕、意识减退 , 伴有呕吐 , 次日晨起后感到左侧身体无力 , 出现活动障碍 。 前往附近医院就诊后 , 经检查被诊断为脑梗死 , 接受药物治疗后症状有所缓解 , 左侧肢体活动能力逐渐恢复 , 可以正常生活 。
对于一名不到40岁的青年女性而言 , 脑梗死并非常见疾病 , 在检查中也没有发现动脉粥样硬化及脑血管的狭窄或闭塞 , 引发脑梗死的病因究竟是什么?有医生高度怀疑是心源性卒中 , 但其最常见的原因是房颤 , 而李女士并无房颤病史 。
为进一步找寻病因 , 解除病痛的折磨 , 李女士于2020年12月慕名来到北京协和医院就诊 。 心内科主任荆志成教授接诊后 , 为患者安排了经食管超声心动图(TEE)检查 , 发现心脏房间隔存在左向右分流的血流 , 进一步行经颅多普勒超声(TCD)发泡试验 , 结果为阳性 , 确诊李女士有卵圆孔未闭 , 引发脑梗死的“元凶”被找到 。
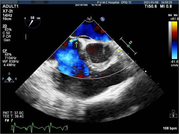
文章插图
【卵圆孔|攻坚克难|青年脑梗死竟因心脏有个“洞”!协和心内科成功补心】术前经食管超声心动图检查发现房间隔有卵圆孔未闭 , 且存在左向右分流 。
卵圆孔未闭为什么会导致脑卒中?据心内科主治医师黎婧懿介绍 , 卵圆孔是在胚胎发育期心脏左右心房之间的通道 , 一般在出生后1年内因左心房的压力升高而逐渐闭合 , 若不闭合就称为卵圆孔未闭 。 卵圆孔未闭在人群中的发生率较高 , 约为四分之一 , 但通常无症状或症状轻微 , 容易被忽略 , 多通过体检发现 。 当感染等因素导致静脉系统形成血栓 , 栓子通过未闭的卵圆孔从右心房进入左心房 , 随着体循环到达脑血管 , 可导致脑梗死、偏头痛、晕厥等系列临床症状 。
文章插图
卵圆孔未闭大体图(A.右心房;B.左心房;FO:卵圆孔;SS:继发隔) 。
文章插图
卵圆孔未闭导致卒中的机制 , 来自静脉系统的栓子通过异常通道进入体循环 。
卵圆孔未闭可通过TCD发泡试验进行确诊 。 该试验将空气和生理盐水混合震荡后 , 形成微泡造影剂注入静脉 , 如果心脏存在异常的右向左分流 , 微泡可随之进入左心和体循环 , 通过TCD就能在脑部监测到进入脑动脉的微泡信号 。 目前北京协和医院神经科徐蔚海教授团队已对非明确的脑血管病导致的脑梗死病人进行TCD发泡试验筛查 , 并与心内科建立合作 , 启动“心脑共治” , 为患有心房颤动和卵圆孔未闭的脑卒中患者建立国际先进的诊治模式 。
明确诊断后 , 心内科为李女士安排了手术 。 2021年1月8日 , 荆志成主任带领先心病微创手术团队 , 为患者实施了卵圆孔未闭封堵术 。 经大腿根部的股静脉微创置入心脏导管 , 将封堵器送到卵圆孔位置后 , 展开封堵伞 , 与卵圆孔完美契合 , 封堵住缺口 。 荆志成主任凭借娴熟的手术操作 , 只用了短短的5~10分钟 , 就彻底消除了一个“隐匿性杀手” , 解除了再次发生心源性卒中的隐患 。 李女士在术后第二天就恢复良好 , 顺利出院 。
文章插图
卵圆孔未闭封堵术中 , 采用封堵伞堵住缺口 。
文章插图
术后超声心动图显示封堵伞形态良好 。
李女士的经历看似有惊无险 , 但背后的问题值得警醒 。 荆志成主任指出 , “卒中不是只在老年人发生 , 也不是只有脑动脉硬化的问题才导致卒中发生 。 卵圆孔未闭与脑卒中的关系应引起足够重视 。 一项汇总了全球1032项研究结果的荟萃分析显示 , 隐源性卒中患者卵圆孔未闭的发生率比健康人群高很多倍 。 卵圆孔未闭已经成为中老年人脑卒中特别是年轻人发生脑卒中的重要原因之一 。 作为医生 , 不能单纯地‘头痛医头、脚痛医脚’ , 如果存在不明原因的脑卒中、顽固性的偏头痛等情况 , 要警惕存在卵圆孔未闭的可能 。 ”
- 商业银行|巩固拓展脱贫攻坚成果和乡村振兴有效衔接丨“智慧医院+快捷支付”两当开启“银医”合作模式
- 贵州省委|贵州发起攻坚提升健康水平
- 专病|解决影响群众健康突出问题,江岸区发力“323”攻坚行动
- 博士|【巩固脱贫攻坚成果 助力实施乡村振兴】吉林省人民医院来大安市开展“巩固脱贫攻坚助力乡村振兴”博士巡回医疗活动
- 应城市人民医院|新技术助力“323”攻坚
- 中医药|枝江市中医医院开展中医中药村村行 助力“323”攻坚行动
- 中医院|县中医院到排市石坑村开展“323“攻坚行动
- 瞿洪平|跳出耐药感染“重灾区”,ICU如何打赢重症感染攻坚战?
- 癌症|常德一医:肺癌筛查防治公益行 打好抗癌攻坚战
- 疾控中心|【卫健攻坚看基层】青岛:实质性推进医防融合
