山东省立医院(集团)鲁东医院骨科团队 , 巧妙运用钢板外置治疗一例严重开放性小腿骨折病人 。
病例
患者孙先生 , 49岁 , 在农田干活时被旋耕机绞伤右下肢 , 右小腿前群肌肉挫裂严重 , 胫骨骨质外漏 , 创腔内大量泥土等污染物 , 入我院急诊完善相关检查后转入我院骨科 , 并给其开通绿色通道 。 针对孙先生的伤情 , 骨科团队进行了周密的讨论 , 制定经济、可靠、微创的治疗方案 。
文章插图
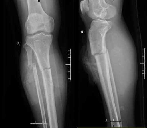
术前X线片检查
文章插图
术后X线片检查
经过严密的讨论后 , 孙先生随即被推进手术室 , 手术由骨科副主任李泽主刀 , 冯兴义大夫配合完成 。 李泽副主任采用“清创+修复软组织+钢板巧妙外置固定骨折”的方式 , 在90分钟内顺利完成了手术 , 清创彻底、微创固定 , 将本例复杂开放性骨折手术完美完成 。
文章插图
术后外观
开放性骨折以往传统治疗方法为一期清创治疗后 , 外固定架固定 , 待局部皮肤条件允许后二次进行钢板植入体内进行骨折固定 , 待骨折愈合1年后再进行切开取出钢板 。 开放性骨折病人往往需要多次手术才能达到治愈 , 保留肢体功能 。 如处理不得当会出现骨折端皮肤坏死、骨与钢板外露甚至慢性骨髓炎等严重并发症 , 给予患者本人的身体健康带来严重创伤 , 并且会带来沉重的经济负担 。 而本次采用的钢板外置微创手术 , 则具有以下优点:
【手术|鲁东医院骨科团队妙用钢板外置微创治疗复杂开放性骨折】1.钢板外置微创治疗 , 可以减少局部皮肤软组织张力 , 降低皮肤坏死及感染的发生率 。
2.钢板外置不需要剥离骨折端骨膜等组织 , 有利于骨折愈合 。
3.钢板外置相对于传统外固定架更稳定 , 更美观 , 患者可以早期穿长裤离床活动 。
4.钢板外置二次局麻微创取出 , 可以为患者避免取出钢板时再次切开皮肤的创伤 , 并且可以为患者节约近一半经济费用 。
专家介绍
文章插图
李泽 , 副主任医师 , 骨科副主任 。
从事骨外科临床工作20余年 , 擅长:对骨科领域的常见病、多发病积累了丰富的诊疗经验 , 精通四肢各类创伤骨折手术 , 断指(断肢)再植手术 , 血管、神经、肌腱修复手术 , 熟练掌握常见肢体畸形矫正及功能重建手术 , 能独立完成髋、膝关节置换手术 , 腰椎后路及颈椎前、后路手术 。
冯兴义 , 骨科主治医师 。
文章插图
曾于北京大学第三医院 , 山东省立医院 , 解放军第九六零医院进修学习人工关节置换技术及关节镜技术 。 擅长:关节镜下各类手术 , 人工关节置换及翻修手术 , 人工膝关节单髁置换手术 , 在关节疾病的诊治方面积累了丰富经验 。 学术兼职:山东省老年医学会关节分会青年委员 。
- 东莞康华医院|年会聚餐挂横幅:“手术室里全是钱!”东莞康华医院:内容确实不妥
- 手术治疗|老年人骨质疏松建议及早服药
- 群众|用心用情精准发力
- 东城区|东城区卫生健康委对北京市隆福医院冬奥医疗保障院感防控工作进行现场指导
- 肇东|黑龙江肇东发现一例初筛阳性,为绥芬河抵肇人员
- 腹腔镜|道县:成功开展首例多脏器微创联合手术
- 黑龙江|黑龙江肇东发现一例初筛阳性,为绥芬河抵肇人员
- 血压|颈部巨大肿块,然而高血压和肥胖让她的手术之路充满变数
- 子宫|剖宫产瘢痕妊娠大出血 东昌府妇幼抢救护平安
- 西南医科大学|推广微创手术,造福彝乡人民 —记西南医科大专家在普格帮扶工作新篇章
