【 男子肚疼被家人送医院, 医生检查后表示这是机器人】
文章插图
在国外每天都发生着令人惊叹的事情,他们的生长环境及生活习惯让外人很难理解,这或许就是文化之间的差异。
最近在印度的著名城市发生了一件让当地媒体都吃惊的事情,能在本地都吃惊的事情,那么在外人看来绝对是大事情。当地的一名男子因为肚子疼而被家人送到医院,医生当时还不以为然,以为是普通的胃病或者是吃坏了肚子。
文章插图
但是在医生的简单的处理下,该男子的情况没有好转而更加疼痛,家人十分焦急。医生很诧异,研究后决定给男子做X检查以及胃镜检查,检查后的结果让在场所有的医护人员感到吃惊,男子胃里的东西让临床多年的医生感到害怕。
文章插图
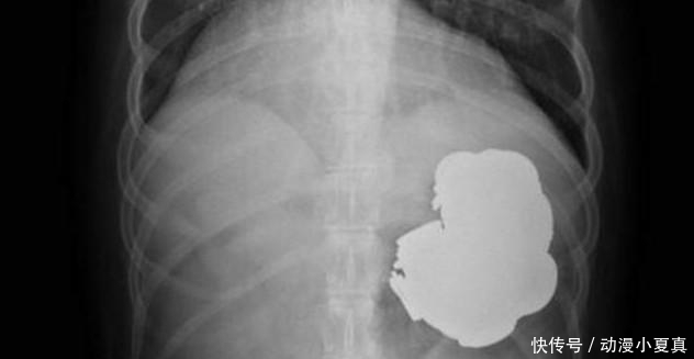
男子胃里到底是什么呢?最有医生给出了结果。男子的胃里居然是金属物品,并且里边的金属物品还杂乱无章,粗略的估算下,有一百多枚钱币、几十根银还有些许螺丝、螺栓,让医生感到吃惊的还有废弃电池。医生非常诧异,难道男子把自己当成了机器人?医生把检查的结果告知了男子家人,并且医生告诉男子家人,必须要马上做手术,要不然该男子会因此而丧命。
文章插图
男子家人知道情况后,做出了手术的决定,男子的妻子也恳求医生救下他丈夫的性命。因为男子吞食的金属物体太多,医院安排了六名医生为男子做手术,手术持续了近九个小时,金属物体小而繁多,需要进行多次手术才能完全的清除掉。
术后男子说出了自己吞食金属的原因,因为自己有精神抑郁症,自己本身的承受压力比较弱,就患上了喜爱吞食金属的异食癖,每天吃的不多,但是长积月累,并且还不能消化,胃里就越来越多了。
想不到精神压力能让人做出如此举动,让小编的着实惊恐了下!
- 被背叛的一方为什么会对抗?
- 背叛婚姻的人不改变,却要被背叛的一方做改变
- 为什么被背叛者会陷入神经症式的痛苦之中?
- 婚姻中,女人为什么会被背叛?
- 被背叛的痛,到底能够带来怎样的成长?
- 为什么婚外的感情,总是被忽略?
- 男子做保姆两年,一个月挣8000元,
- 同时被三个男人追求,56岁阿姨毫不动心:不想再伺候人
- 贵州一男子当上门女婿,婚礼当天新郎边走边哭,网友:贫穷是灾难
- 三口之家|一个三口鸡蛋中毒被送进医院,其中一种鸡蛋有毒,几乎没有人清楚
