【食管|广东9岁女孩喝了桌上“一口水”,致食管萎缩无法进食......】来源:信息时报
近日 , 广东省妇幼保健院小儿胸外科接诊了一名9岁的女孩“小丽” , 因误喝空调清洁剂 , 导致食管化学腐蚀后变得狭窄而影响了进食近8个月 。
文章插图
据了解 , 8个月前的一天下午 , 小丽回到家 , 看到桌上放了一瓶“水” , 就好奇地喝了一小口 。
就这“一小口水” , 让小丽在接来下的8个月里苦不堪言:反复出现呕吐、腹痛 , 饮食上只能吃一些半流质食物及面包、馒头、米饭等软食 , 在当地医院也住院治疗过几次 , 但仍未得到很好的解决 , 到了最后 , 甚至连喝水都变得困难了 。
文章插图
通讯员供图
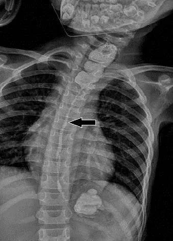
近日 , 小丽一家人找到了广东省妇幼保健院胸外科主任洪淳团队治疗 , 经过检查发现 , 小丽因误食了空调清洁剂后 , 造成了食管化学腐蚀后的狭窄 , 医生先给她尝试了无创的球囊扩张术 , 但因腐蚀后狭窄的时间较长 , 错过了保守治疗的最佳时机 , 球囊扩张并没有取得预期的效果 , 那么就只能考虑手术治疗了 。 术前的消化道造影显示:小丽食管中下段2/3严重狭窄 , 已经基本无法使用了!
文章插图
术前造影食管狭窄 通讯员供图
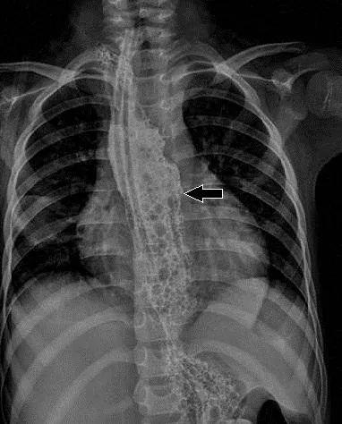
经过科室联合多学科团队的讨论 , 最终决定采取经颈腹联合切口胃代食道术 , 即裁剪下小丽的一部分胃 , 去替代她已经萎缩的食管 。 手术难度非常大 , 国内外仅有少量案例报道 。 经过7个小时的奋战 , 手术终于顺利地结束了 , 在经过后期的护理后 , 小丽慢慢恢复正常饮食了 , 目前已顺利出院 。
文章插图
术后造影食管恢复正常 通讯员供图
提醒:“家有熊孩子 , 家长要‘放手不放眼’ , 别让孩子离开家长的视线;另外 , 化学物品、药品、毒物等都要收好 , 最好是放在孩子拿不到的地方 , 别让‘小疏忽’酿成‘大错误’ 。 ”
信息时报采访人员 张漫 通讯员 林惠芳
- 牙周组织|29岁女子整口牙掉了一大半!医生一看:剩下的全保不住了
- 食管癌|来汉求医成功消灭早癌内蒙古牧民给医护送上“牧民最爱的食物”
- 北京|最大79岁,最小5个月!北京最新通报
- 疫情|北京此轮本土病例最小5个月、最大79岁 已有2人治愈出院
- 李泽伟|北京:本轮疫情本土病例平均年龄40岁 最大79岁 最小5个月
- 胃食管反流病|胃食管反流病患者如何健康饮食
- 方向|39岁的罗翔宇,和赌上公司命运的《昭和米国物语》
- 葡萄糖|19岁小伙一天喝4瓶饮料喝进ICU 为什么慢性病找上了年轻人?
- 17岁嫁人,19岁守寡,独身70多年,丈夫始终是她心中
- tod|癌症治疗再添“利刃”!广东首个BNCT治疗中心将落户东莞
