大众网·海报新闻采访人员 王磊 通讯员 李庆浩 泰安报道
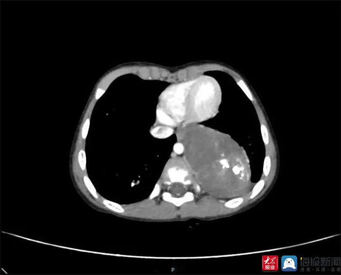
4岁多的可爱男孩远远(化名)是泰安市中心医院儿童外科的一名患儿,本应该是天真烂漫的年纪,却因咳嗽多日来医院儿内科就诊,经肺CT检查显示:纵膈巨大占位,遂进入儿童外科住院等待进一步检查治疗。
文章插图
肺CT检查(李庆浩 供图)
远远住院后,儿童外科医师立即给他完善各项相关检查,胸部MRI平扫结果显示肿物与周围器官组织联系紧密。
文章插图
肺CT检查(李庆浩 供图)
尽快手术是唯一出路!儿童外科主任李庆浩表示,由于肿瘤与胸主动脉、心包、肺等器官紧密纠缠,手术难度很大,要成功实施手术,如何精准掌握肿瘤的侵袭范围,精巧分离周围器官和肿瘤成为关键。
文章插图
CAS检查(李庆浩 供图)
海信计算机辅助手术系统(CAS)的应用成功解决了这个问题。术前,儿童外科团队借助CAS系统评估发现,患儿的肿瘤体积高达162.1ml,肉眼看竟然比心脏的体积还大。最终,在CAS的导航下,在医院麻醉科、手术室及儿童外科其他医师的密切配合和共同努力下,由儿童外科主任李庆浩主刀,成功为患儿施行了胸腔镜下纵膈肿瘤切除术,整个手术过程中没有输血,手术出血量仅仅10ml,手术创面无明显出血,手术实现了精准微创。术后,患儿恢复良好,目前身体各项指标均无明显异常。
文章插图
CAS检查(李庆浩 供图)
李庆浩介绍,肿瘤细胞不断地生长、繁殖,挤压甚至侵袭周围的正常器官组织中,该怎样手术?该切除哪里?外科医生以往需要借助二维影像“片子”来想象,在脑海中模拟患者病处的情况。现在,海信计算机辅助手术系统(CAS)可以对二维影像进行三维重建,并把三维模型呈现在大屏幕上,让大家一目了然,更有针对性地解决问题。
在泰安市中心医院儿童外科,医生的高超技艺加上现代化的技术为泰城儿童的健康提供了有力的支持。最后,共同祝愿远远早日康复,健康成长。
儿童外科中心专家介绍:
文章插图
李庆浩(李庆浩 供图)
李庆浩,泰安市中心医院儿童外科中心主任,主任医师,教授,硕士生导师,党员。
从事本专业31年,擅长先天性胆总管囊肿胆重建术、儿童实体肿瘤切除术、腹腔镜脾切除术、先天性巨结肠根治术、先天性小儿肛肠疾病诊治、腹腔镜微创肾积水手术、尿道下裂矫治术、隐睾手术、斜颈手术、各种骨折、发育性腕关节脱位、脑瘫等手术。
【 先天性|四岁男孩患肿瘤 泰安市中心医院儿外科新设备助力精准切除】山东省医学会小儿外科分会委员,山东省医师协会腔镜外科医师分会小儿外科内镜委员会副主任委员,山东省医师协会小儿腔镜外科医师分会副主任委员,山东省研究型医院协会小儿外科学分会副主任委员,内镜与微创专业技术全国考评委员会、中国医师协会内镜医师分会、世界内镜医师协会中国协会小儿科内镜与微创专业委员会理事,泰安市小儿外科专业委员会主任委员,泰安市直卫生系统首届“十大杰出青年”。
- 戚士芹|4岁男孩贫血还成了“小黄人”单孔腹腔镜支妙招
- 一个15岁的男孩,被大而黑心的媒体给活活逼死了?
- 刘女士|广州医生手绘5张精美手术图,独创术式治好先天性心脏病
- 男孩,奋力去追,也真的能如愿以偿
- 小杨|川北首例!四川广元顺利完成罕见先天性主动脉缩窄介入手术
- 白内障|6岁女童视力持续下降3年祸起竟是先天性白内障
- 螨虫性|8岁男孩身上突然起疹子 竟是螨虫作祟
- 儿科医生|一岁男孩突然用头撞门,原来是癫痫发作
- 男孩跪地求女友分手,女孩:你有28万彩礼吗
- 小刘|16岁男孩滴激素类眼药水半年,引发青光眼视力降到0.1
