
文章插图
为顺应当今医疗科技发展的需要,提高诊疗水平,绩溪县人民医院斥资引进美国GE公司血管造影机,经过前期的安装、调试,并顺利通过相关机构验收后,DSA介入导管室正式投入使用,开展血管造影及介入治疗新技术。
文章插图
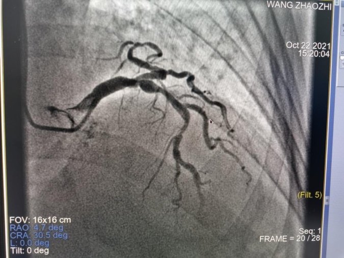
2021年10月22日,星期五,介入导管室顺利完成5例心脏冠状动脉造影+心脏支架置入术。该类手术在绩溪县是首次开展,填补了绩溪县在介入诊疗技术方面的空白,标志着我院心脑血管疾病的临床诊断达到了先进水平、开创了心脑血管疾病诊疗新篇章,是医院发展史上新的里程碑。
文章插图
文章插图
家住绩溪县华阳镇的王×织是今日行心脏冠状动脉造影+心脏支架置入手术的患者之一,他2012年曾行冠脉造影检查确诊冠心病,长期服药,此次因“胸闷、头昏多年加重1周”,经院心内科诊视后,考虑冠状动脉狭窄进展可能,建议住院行心脏造影检查。经过完善的术前准备,10月22日在我院导管室由浙大一附院心内科专家尚云鹏主任主刀为其进行了心脏冠状动脉造影,术中发现冠脉狭窄明显,为其成功实施了心脏支架置入术。手术过程非常顺利,目前该患者术后状况良好。
【我为群众办实事:DSA正式投入使用,绩溪县人民医院迎来“介入时代”】该院为全面推进微创介入诊疗工作,选派多名临床骨干医护人员赴省内外知名医院进修学习,并常年有浙江大学医学院附属第一医院心内科、神经内科等专家来院进行
文章插图
会诊、手术指导。以往要去城市大医院才能诊治的疾病,现在在家门口就能得到全国顶尖医院专家的诊疗服务,并享受优质的医疗服务。
来源:中安在线
- 群众|用心用情精准发力
- 健康码|广西健康码推行“有温度”的线上“异常反馈”功能提升群众“满意度”
- 铜梁|铜梁:“数智”健康防范群众“因病致贫”
- 人民群众|以精准防控守护春节平安(评论员观察)
- 副院长|新桥镇卫生院中医馆:提升基层医疗服务能力 全力守护群众健康
- 体检|济源承留卫生院家医团队贴心服务群众
- 核酸|郑州已解除封控、管控、隔离群众 可根据病情自行到医疗机构就诊
- 乳腺疾病|春节送健康 义诊暖人心——文化路街道联合枣庄市立医院开展“我为群众办实事”惠民工程义诊活动
- 善良的人,总是以自我为中心
- 群众|广西健康码推行线上“异常反馈”功能
