C>P
60岁白人女性,出现下肢水肿和轻度呼吸困难8 周,临床表现符合肾病综合征
实验室检查:
?Scr 8 mg/dl,尿蛋白/肌酐 20.6 g/g,有微量血尿 ?ANA、dsDNA、 ANCA、感染检查 以及血清、尿蛋白电泳均为阴性 ?肾脏超声显示左肾上极有肿块( 10 厘米)
接受右肾活检以查明急性肾损伤和肾病综合征的原因,随后接受左肾根治术以切除肾脏肿块
1
荧光
纤维蛋白原阳性,其余为阴性
2
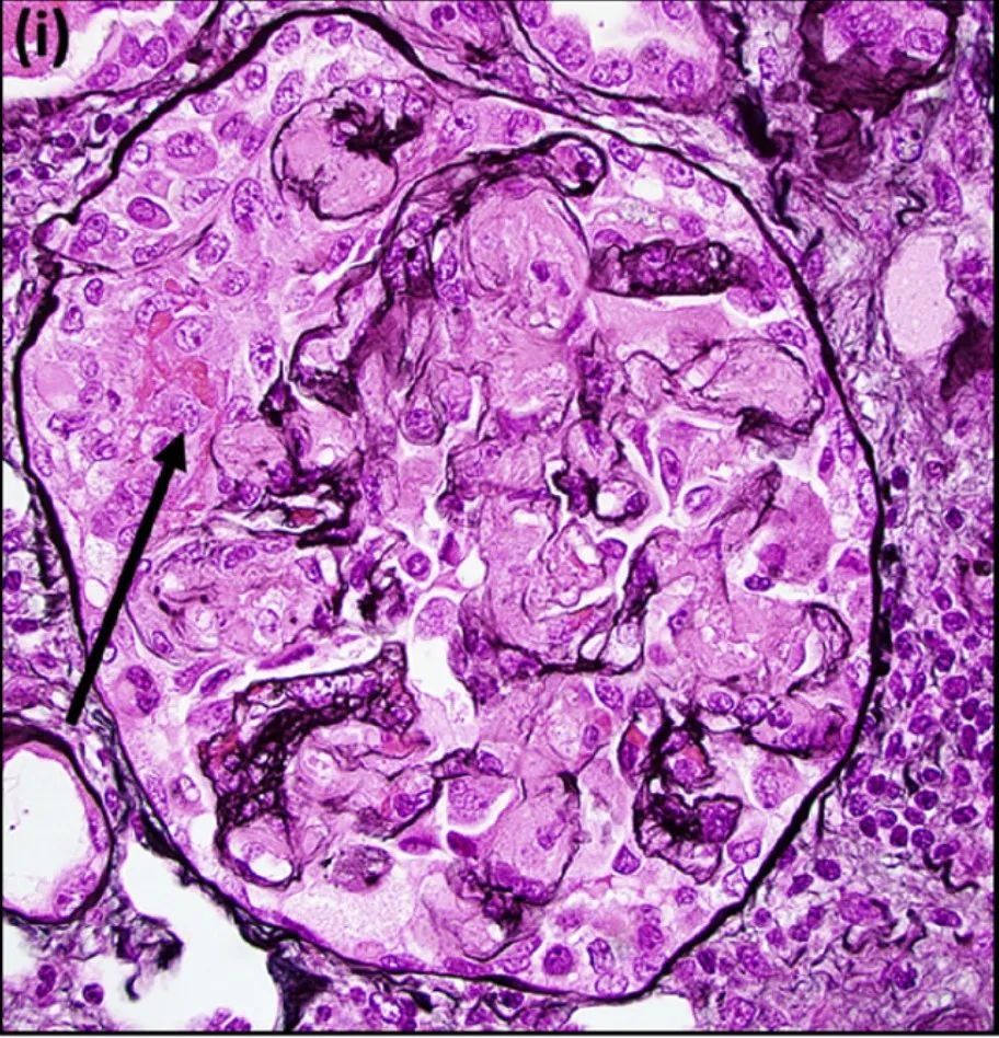
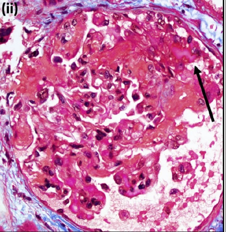
光镜

文章插图

文章插图

文章插图

文章插图
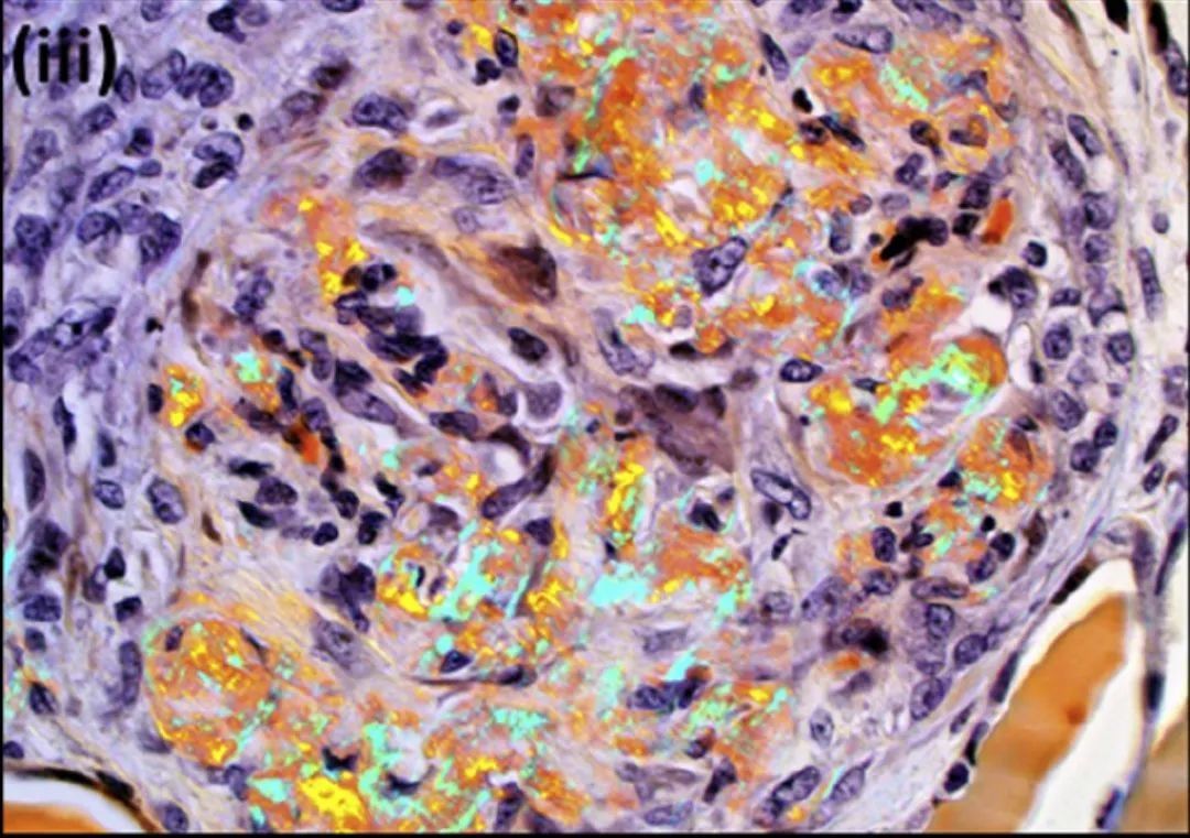
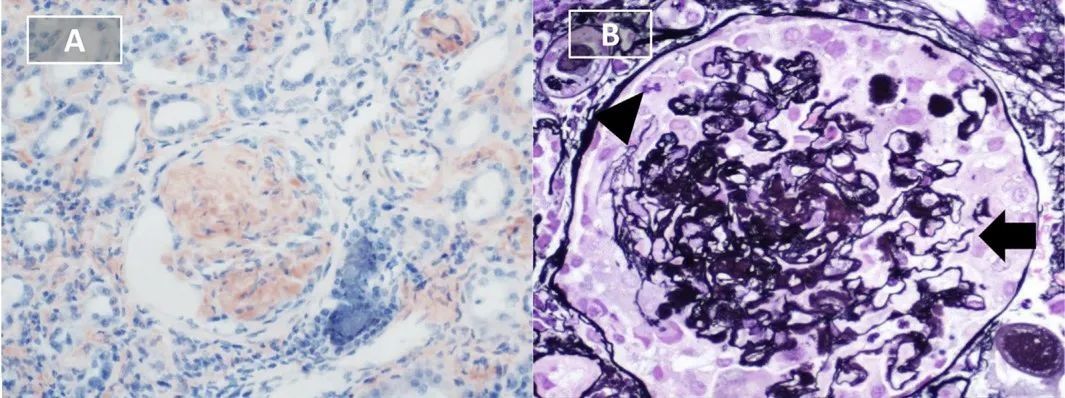
48 个肾小球,1 个全球硬化,60%-70% 肾小球有细胞性新月体,部分肾小球有基底膜破裂伴纤维蛋白渗出(图i和ii,箭头所示)。少数肾小球 (<5%) 显示纤维细胞性新月体。所有肾小球均表现出节段性至全球性系膜区均质性增宽。刚果红染色证实为淀粉样物质,偏振光下呈苹果绿双折射(图iii)。免疫组化显示血清淀粉样蛋白 A 呈阳性 (图iv)。部分毛细血管袢有节段性毛细血管内细胞过多,主要为单核白细胞和少量中性粒细胞。小动脉和间质(主要在髓质中)中也可见淀粉样物质沉积。没有动脉炎,有轻度间质纤维化
3
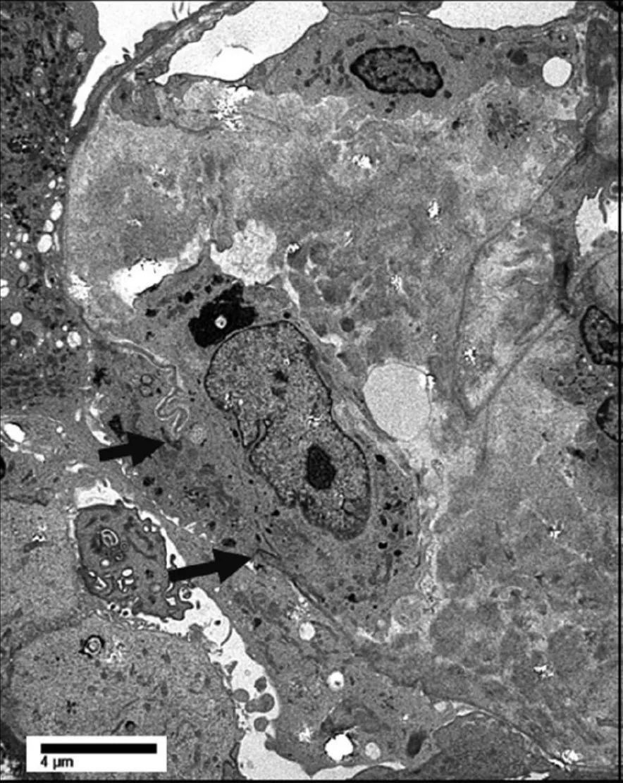
电镜

文章插图

文章插图
肾小球系膜区域和基底膜广泛的纤维丝,部分基底膜破裂,未见免疫复合物沉积
4
左肾切除标本

文章插图

文章插图
LM:左肾切除标本包含一个13.0 cm的肿瘤,具有透明细胞形态,表达 CA-IX 和 CD10,但不表达 CK7、CD117 或 TFE-3。肿瘤内可见分散的淀粉样沉积物(刚果红染色阳性),AA免疫组化阳性
Q
诊断与鉴别诊断?
诊断与随访
诊断:
? 肾透明细胞癌
? 肾AA 淀粉样变性
? 新月体性肾小球肾炎
随访
? 活检后第二天开始进行为期 3 天的甲基强的松龙冲击 (500 mg iv),并开始透析
? 由于缺血性结肠炎、尿路感染和肠功能恢复缓慢等并发症住院约1个月
? 患者目前透析6个多月,肾功能未恢复
肾淀粉样变+新月体
? 有报道多达 13% 的肾淀粉样变伴有新月体,其发生率与淀粉样蛋白沉积的总体范围或肾病综合征的存在无关,多为AA 型淀粉样变
【 左肾肿块|【C】 ? 有个例报道显示淀粉样变导致塌陷性肾小球病+假新月体,考虑是为小球供血的血管损伤或淀粉样物质累及足细胞(如下图)。本病例显示肾小球基底膜破裂、纤维素样坏死和毛细血管内炎症细胞增加,显示为真性新月体

文章插图
? 关于淀粉样蛋白诱导新月体形成的机制有几种假设:
a. 伴有结节扩张的系膜区淀粉样蛋白沉积破坏了系膜功能,导致GBM的剪切应力升高。同时GBM上也可以有淀粉样蛋白沉积,使GBM脆性增加。断裂的GBM导致新月体形成
b. 淀粉样蛋白沉积诱发炎症反应,尤其是巨噬细胞(见下图)。这些细胞免疫加速新月体的形成

文章插图

文章插图
?约 7% AA 淀粉样变的潜在病因是恶性肿瘤,其他的病因如下
上期发散性思维的问题
肼苯哒嗪导致AAV-GN的可能机制?
回答
已经知道表观遗传学在AAV中的作用:JMJD3去甲基化酶水平升高和RUNX3 未能募集,导致基因编码位点的H3K27me3甲基化降低并耗尽,最终导致中性粒细胞中PR3 和MPO 基因表达上调
而肼苯哒嗪也可以通过影响表观遗传学,抑制DNA甲基转移酶,促进AAV
本期发散性思维:
有哪些免疫组化的抗体可用于鉴定淀粉样变的种类?
参考文献
1. Kidney Int Rep. 2019 Mar 4;4(6):882-887
2. Indian J Nephrol. Sep-Oct 2020;30(5):352-354
3. Hum Pathol. 2007 Dec;38(12):1798-809
4. Clin Nephrol. 2008 Dec;70(6):464-74
- 主动脉夹层|晨读丨1月27日,关注健康每一天
- 社交边界感有多重要
- 评分|《神秘海域:盗贼合集》M站媒体评分解禁 均分88分
- 两个人一直腻在一起是怎样的体验?
- 宇宙的裂缝
- 心电图|【科普】心电图上的窦性心律不齐是心脏病吗?
- 血脂异常|《脑心同治 医者语录》 ——陈伯钧:预防心脑血管病要从青年开始
- 知识|冬季养生保健知识
- 水满则溢,月满则亏,为人处事把握“这个字”,方能悠然自得
- 夜读 | 过年你回家吗?
