『医学』假奶发威!女子胸部中弹“硅胶让子弹转弯”登上医学文献

文章图片

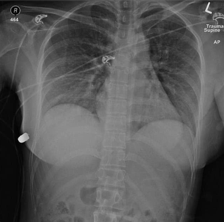
文章图片
【『医学』假奶发威!女子胸部中弹“硅胶让子弹转弯”登上医学文献】加拿大多伦多一名30岁妇女2018年胸部中弹求医 。 但此案件如今再度受到外界关注 , 根据SAGE医学杂志上周发表的最新案例研究 , 该名女子隆乳的矽胶植入物可能让子弹偏离心脏 , 救回她的性命 。 医师认为 , 医学文献记载的乳房植入物挽救性命的案例本就不多 , 这更是第一起因矽胶植入物救回病人性命纳入医学文献的个案 。
▲该名女子受枪伤 , 左侧植入物明显受损 。 医师发现 , 假体明显被子弹穿透 。
综合CNN等外媒报导 , 这起事件发生在2018年加拿大多伦多 , 该名女子当时走在街头 , 在中弹后发觉左胸发热、疼痛 , 且身上出现血迹 , 随即前往医院急诊室寻求治疗 。 根据一系列医学检查后发现 , 她身上枪伤入口位在左侧乳房 , 但子弹最终却停留在身体右侧 , 且右侧肋骨骨折 , 左乳房的植入物明显受损 , 最终得出子弹自左胸转移至右胸的结论 。
「矽胶植入物改变子弹的轨迹」 , 外科医师麦伊凡努(Giancarlo McEvenue)认为 , 子弹射进她的皮肤后 , 矽胶植入物让子弹偏离原本轨道 , 使得子弹转移至右侧乳房 , 尽管右侧肋骨断裂 , 但也避免心脏被射穿的危机 , 「人体左侧有心脏和肺 , 如果子弹直接射进胸部 , 她的伤势会严重许多 , 甚至可能危害到性命 。 」
医师指出 , 该名女子除了枪伤、右侧肋骨断裂、矽胶植入物受损之外 , 并没有受到其他伤害 。 事后 , 医师移除植入物、冲洗伤口 , 同时开立短期抗生素疗程 , 辅助女子康复 。
报导指出 , 使用乳房植入物大多分为两种情况 , 也就是重建乳房组织或增大乳房尺寸 , 而美国批准使用的植入物大多分为两种 , 都有矽胶外层 , 但一种是由盐水填充 , 另一种由矽胶填充 , 大小、外层厚度纹理、形状各有不同之处 。
- 医学界4名援鄂护士吃完火锅后懵了……有人替我们做了想做的事
- 上海儿童医学中心【父母必知】耳前的“拴马桩”您了解多少?
- 医学@天然“溶栓剂”已公布,并非洋葱和木耳,可劲吃,血管一通到底
- 运动医学部落TB你踩雷了吗?,小腿拉筋3地雷
- 蚌埠医学院第二附属医院宣传处二附院脑卒中团队参研成果被国际顶级期刊《新英格兰医学杂志》发布,这项成果或改变全球脑卒中的治疗
- 人民医学孩子的身高真的是遗传妈妈吗?,“娘矬矬一窝”
- 南巷清风个个滨医附院境外归国人员接转工作组6名队员解除医学观察
- 医学界65岁新冠患者“重生”记……,双肺失能、上62天ECMO
- 【医学界儿科频道】家长需要注意什么?,鲍慧玲教授:控制儿童哮喘
- 『医学界』视频揭秘神经科医生的一天……
