宇航员|人类在被圈养?宇航员进入宇宙大脑膨胀变形,我们真走不出去吗?

文章图片

文章图片

缺氧的真空环境和强烈的宇宙射线是太空环境的危险因素 。 地球对于我们来说就是最好的保护屏障 , 我们生活在地球上可以远离宇宙辐射 , 随着人类对环境的肆意破坏 , 地球也不会永远存在 , 人类想要继续生存 , 必须寻找下一颗星球 。 但科学家却发现 , 在面对未知的宇宙环境下 , 人类可能永远也走不出去 。
1
在我们寻找外星文明的旅途中 , 我们并没有发现他们的运动轨迹 , 因此有人认为人类其实是被外星文明圈养起来的宠物 , 所以我们才没有办法找到外星人 , 也无法逃离地球 , 这样的看法其实是没有科学理论支撑的 , 但在看到宇航员进入太空的变化后 , 很多人也慢慢的改变了看法 , 他们认为人类在宇宙面前是非常渺小的 , 我们可能永远也战胜不了宇宙 , 这是什么原因呢?
【宇航员|人类在被圈养?宇航员进入宇宙大脑膨胀变形,我们真走不出去吗?】
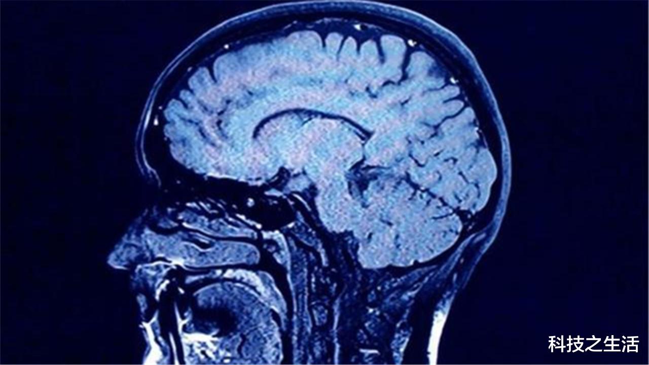
2
随着各个国家对火星探测历程的加快 , 第1批登上火星的人将会接受重大的考验 。 科学家这么多年来 , 一直在实时跟踪宇航员的身体变化 。 当进入宇宙后 , 他们的大脑会肿大变形 , 这对于他们的身体会造成严重的创伤 。 一位科学家就对宇航员进行了这样的测试 , 科学家在他进入国际空间站之前扫描了一次大脑 , 在他返回地球后又扫描了一次 。 结果发现当他进入太空后 , 大脑的体积开始变大 , 血液凝聚在了视觉神经中 , 大脑开始变形 。
3
如果长时间在真空环境中 , 大脑和脑积液将会持续膨胀 , 虽然它们也可以对大脑起到保护作用 , 但长久来看 , 对身体健康是有不利影响的 。 科学家认为大脑所产生的变化 , 就像长期卧床的患者一样 。 那么是什么原因造成了脑积液体积增大的原因呢?科学家认为这或许与大脑聚集的蛋白质有关 。
4
当宇航员进入真空环境后 , 他们的脑垂体就开始缩小 。 正常的脑纹路是比较平整的 , 进入太空后就变成突起了 。 这其实都是颅内压升高导致的 。 虽然直到如今 , 在国际空间站工作额人员并未在体检报告中写明这一项 , 但科学家认为 , 宇航员进入太空后所面临的问题远不止于此 , DNA破坏、免疫系统紊乱、强烈的辐射 , 这些都是危害人类健康的“杀手” 。
5
宇航员进入太空是有着多层保护的 , 防护服都没有办法阻止身体变化 , 可见人类想要真正的进入宇宙实现太空移民 , 还需要很多的问题需要解决 。 因此有人认为 , 人类或许只能存在于地球上 , 大家认为人类真的是被圈养的吗?
- 金字塔|最早的金字塔始建于35000年前?你相信它是人类文明建造的?
- |人类为什么一般只吃食草动物的肉,而不吃食肉动物的肉?
- 鸡蛋|为什么鸡看到鸡蛋被人类拿走了,却不会生气?
- DeepTech深科技|图像注释AI比人类更精确?微软新算法刷新图像注释基准测试纪录
- 基因|偏远山村一群人爬行走路,这是什么情况?人类又退化了?
- 双姐旅游|这简直是“反人类”操作,印度网友:中国用几十年解决几百年难题
- 太阳系|太阳系外是什么?科学家发现,一个半径1光年的云团在保护人类!
- |人类从动物身上获得灵感,学到的节制生育技术
- 他们的世界|四维空间里的人,看人类像一条虫子,我们却无法理解他们的世界
- 考古学家|可怕的发现:迄今为止,人类找到的9个可怕的考古发现
