宇航员|人类无法走出地球?宇航员的太空生活,导致身体结构发生变化!

文章图片

文章图片

航天领域的发展已经经过了几十年的时间 , 相信每一个热衷于航天事业的人都有过这样的幻想 , 希望人类可以进行大规模的航天飞行 , 就像是乘坐公交车一样普遍 , 很明显依靠人类现在的经济实力 , 并没有这样做的能力 。 目前有能力有资格生活在太空中的 , 就是被各国发射到国际空间站上的宇航员 。
1
为了让航空旅行在民众间得到普及 , Space X预计将会在未来的5年内 , 将乘客送往太阳系中的其它星球来满足众人的愿望 。 如果这次计划可以取得成功 , 这也就意味着人类将彻底的展开太空旅行的道路 , 但是这一美好幻想除了面临高昂的成本之外 , 还有一大问题在困扰着人类 , 那就是技术问题 。
2
人类的身体并没有能力承受宇宙当中的辐射 , 这些辐射肉眼不可见 , 却可以随时随地的改变人身体的结构 。 在国际空间站长时间的微重力环境下 , 也会让人体发生微妙变化 , 在最新的研究报告中 , 科学家们指出长时间在太空飞行的宇航员 , 身体和大脑都发生了不同程度的变化 , 这到底是怎么回事呢?
3
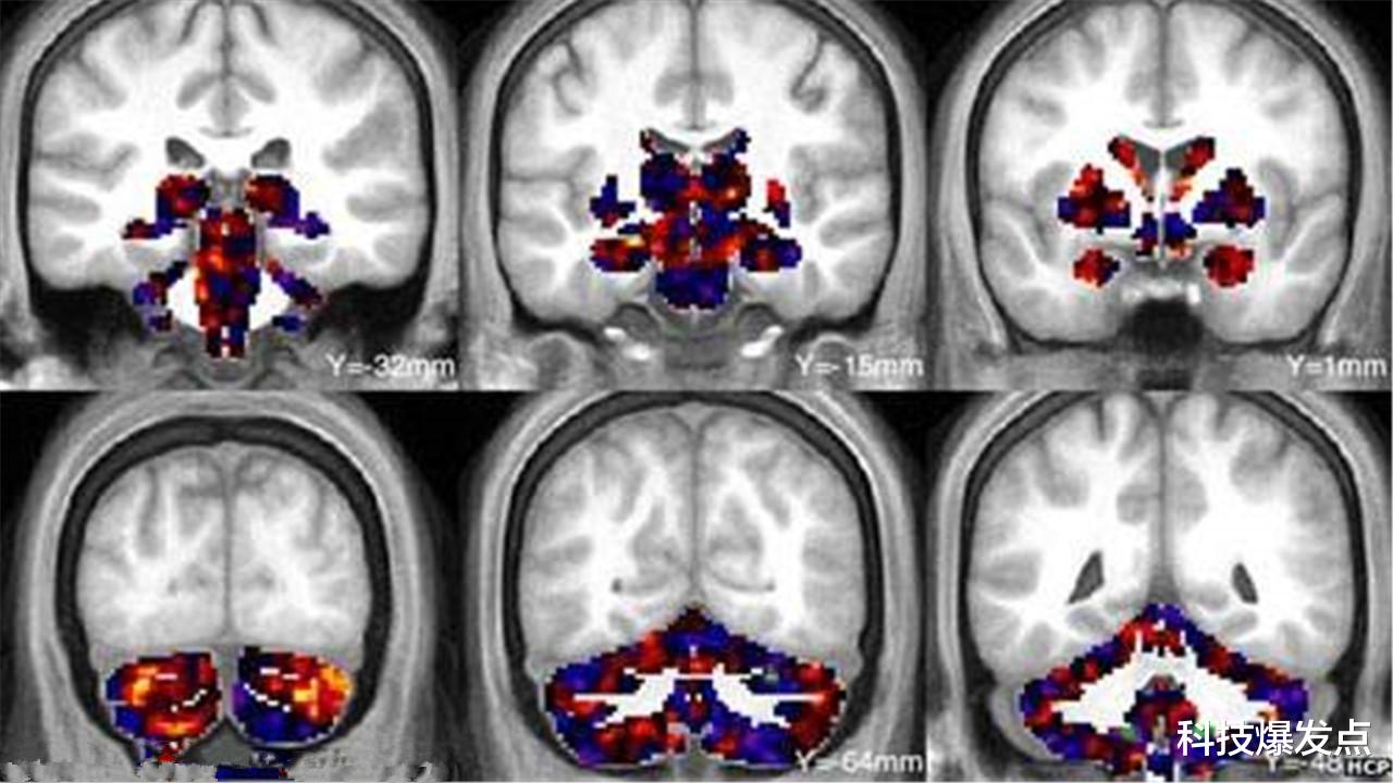
不难发现 , 国际空间站中的宇航员 , 他们并不是长期驻守 , 而是美国100多天就会返回地球一次 , 针对于11名宇航员 , 科学家进行了不同的研究 。 在他们返回地球之后 , 首先对大脑进行了磁共振成像 , 发现在来回往返于地球和太空中的宇航员 , 他们的大脑出现了微妙变化 。
4
在微重力的环境下 , 大脑当中的白质和灰质部分变化最为明显 , 脑脊液增多 , 脑室扩大 , 这都是在失重情况下所导致的 , 通过这样的改变 , 让大脑以及神经系统来适应微重力的环境 。 曾经有一对双胞胎宇航员 , 他们的身体中拥有着同样的DNA遗传物质 , 当兄弟中一人进入太空生活100多天后返回地球 , 发现他们身体中的DNA都发生了变化 , 虽然有着一样的长相 , 但是遗传物质却发生了改变 , 整个过程是不可逆的 。 如果只是大脑的神经系统为了适应重力环境而对灰质和白质作出的调节 , 再回到地球 , 适应了重力环境之后 , 神经系统也会再次恢复 。
5
【宇航员|人类无法走出地球?宇航员的太空生活,导致身体结构发生变化!】在太空中人类只能待100多天的时间 , 这是不是就意味着人类将会拥有的被困在地球上而无法走出呢?因为每一次太空活动任务的时间都会更为漫长 , 尤其是火星移民这项计划 。 似乎距离我们变得越来越遥远了 , 因为在火星上它的重力只有地球的2/5 , 这一问题也依旧会困扰着人类 , 可能为了试用微重力的环境 , 身体又会做出一些改变 。 对于宇航员身体变化明显 , 你有怎样的看法呢?你觉得人类是否会因为重力问题一直被困在地球上呢?
- 金字塔|最早的金字塔始建于35000年前?你相信它是人类文明建造的?
- 科学家|“神婆”巴巴万加:生前曾预言911和2020新冠,迄今科学无法解释
- |人类为什么一般只吃食草动物的肉,而不吃食肉动物的肉?
- 鸡蛋|为什么鸡看到鸡蛋被人类拿走了,却不会生气?
- 威锋网|12双卡模式下无法启用5G,一份内部文档显示:目前iPhone
- DeepTech深科技|图像注释AI比人类更精确?微软新算法刷新图像注释基准测试纪录
- 基因|偏远山村一群人爬行走路,这是什么情况?人类又退化了?
- 科技小辛辛|刚性组织无法取得绩效,陈春花:动态的环境中
- 双姐旅游|这简直是“反人类”操作,印度网友:中国用几十年解决几百年难题
- 太阳系|太阳系外是什么?科学家发现,一个半径1光年的云团在保护人类!
