首先我们科普一下什么是智齿:
智齿是人体口腔内牙槽骨上最里面的第三颗磨牙,从正中的门牙往里数刚好是第八颗牙齿。由于它生长时期比较晚,人们心理和生理都接近成熟,所以称“智齿”,取智慧来临之意。智齿在生长过程中,会出现很大的个体差异,萌生年龄大多数在20岁左右,有人会在30或40岁萌生,有人终身不长。其次每个人的智齿数量也不相同,正常情况下有上下对称的四颗,有人会少于四颗,少数人会多余四颗。这些都是正常现象。
文章插图
那么智齿到底要不要拔呢?
1 如果智齿使你产生牙疼,腮疼等不适症状,就需要拔掉。
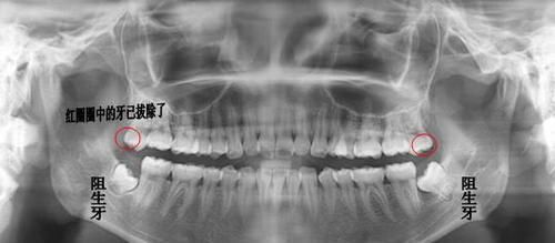
2 如果出现了阻生智齿,也就是说前面的牙齿阻碍了智齿生长的话,需要拔掉,因为有可能会造成对位的口腔黏膜的磨损。
3 如果上下智齿缺少其中一个的话,需要拔掉。
文章插图
那么什么情况下可以不拔呢?
1 上下智齿正常生长,正常咬合,可以不拔。
2 如果智齿的牙根部分,靠近下牙槽神经或其他重要结构时,拔掉可能会出现后遗症。
【 智齿|智齿是人体正常的结构吗一定要拔掉它吗】
文章插图
- 婴儿手足搐搦症,主要致病原因和佝偻病类似,血钙大多都是正常的
- 大学生熬夜玩游戏不节制,患过敏性紫癜,后尿蛋白指标恢复正常!
- 人体的最佳睡眠时间是多长?从小孩到老人都帮你研究清楚了
- 人体健康|不小心吞了一口痰,会对身体造成什么伤害?
- 疾病预防|转氨酶正常,乙肝患者是不是就不需要再抗病毒?看了本文再做决定
- 尿液|尿液和水一样清澈,才代表正常?尿液里面都有啥?怎样才健康?
- 修订人体器官移植条例列入2021年立法计划,器官捐献志愿者6年增百倍
- 花生|用适量花生替代主食,对人体有好处?花生的功效你或许还不够了解
- 切了子宫的女人,和正常女人有哪些不一样?
- 老游杂谈69 | 人体的健康到底值多少钱
