查出癌症该不该及早治疗?癌症病人打化疗,真的是化得越多,死得越快吗?
这是很多人持有的观点。
对不对呢?
如果留心观察,确实有一些癌症病人生存期很短,在几个月甚至几十天的时间内去世,是治疗不合理吗?
其实癌症分很多种类,每一种、每一个病人的特点都是不同的!有的肿瘤生长慢,十几年变化不大;有的恶性程度高进展快,不到一年就会夺去生命。
看几个小病例,大家就理解了:
1.发展最慢的癌症可以有多慢?
文章插图
这个病人在2007年7月体检,发现左下肺高危肺结节,但病人胆子小,害怕动手术。
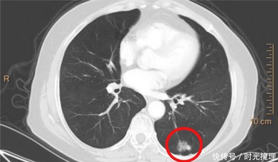
一直拖到2018年1月份(10年半,每年都复查),再次复查,病灶略微增大:
【 化疗|化疗会造成癌症扩散吗?】
文章插图
这回实在不敢再留了。
手术切除,证实为浸润性肺腺癌。
这个病人没有做任何治疗,前后历时10年半,名副其实的“懒癌”。
如果所有的癌症都是呈这个样子,癌症就不会那么可怕了。
但是很遗憾,这种的非常少!
2.发展很快的癌症可以有多快?
一般来说,小细胞肺癌,低分化腺癌,伴有空洞的肺鳞癌,常常进展很快。
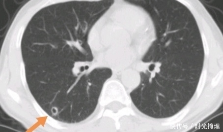
这位64岁的老人,胸闷咳嗽,CT发现右下肺小空洞样病灶:
文章插图
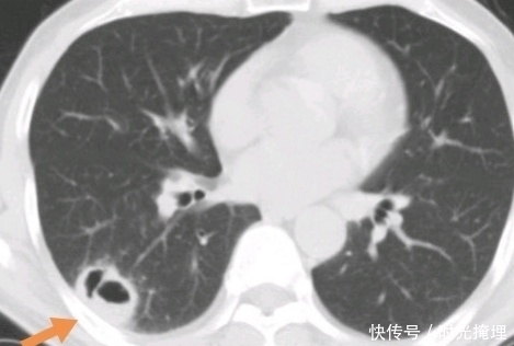
仅仅过了五个月,就明显增大了已经侵犯了胸膜:
文章插图
这位病人手术后很快复发了。
如果他早一点做手术,可能结局会不一样吧。
所以很多人说,癌症早期就治疗的病人扩散更快,这个质疑是不准确的。
再举一个昨天的例子,下图这位老爷子是小细胞肺癌,三年半前确诊,已经发生广泛淋巴结转移:
文章插图
经过以化疗为主的综合治疗,目前已经无症状生存三年半了:
文章插图
在不同的病人身上,癌症的发展速度不一致,但只要治疗有效,就是好消息!
治疗越早,根治的希望越大!
- 有癌症,易房颤!韩国82万例患者研究
- 晚期癌症只能活活痛死?癌症根本不用治?肿瘤科医生讲了四个真相
- 癌症会一代传一代?父母若得了5种癌,子女可能会“继承”
- 医疗|长期染发会致癌吗?提醒:一种染发剂与癌症相关,学会4个技巧
- 癌症|治疗癌症,中医好还是西医好?肿瘤科医生讲到了根本上
- 【新研究】新兴癌症疗法——无毒、非侵入性,可关闭癌细胞的“发电站”并杀死它
- 缺钙会造成很多的危害,这些蔬菜含钙量比较高!
- 给健康人注射癌细胞,会得癌症吗?科学家做了大胆的实验
- 癌症|研究癌症一辈子,却劝人别轻易开刀,肿瘤院士的真心话需要用心听
- 癌症复发和转移一样吗?4种癌症复发率较高,赶紧记起来了
