呼吸困难多次被误诊,只因一床被子?( 二 )
文章插图
文章插图
文章插图
图2-4
再来看看英国医生是怎么分析病情的呢?
- 肺动脉CTA未见血栓 , 肺栓塞基本排除 。
- 自身抗体阴性 , 血管炎基本排除 , CT表现也不支持血管炎 。
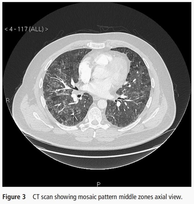
- 胸部CT显示双肺弥漫分布的马赛克 , 也不支持结节病 。
- 胸部CT也不像隐源性机化性肺炎 。
- 血常规示嗜酸性粒细胞正常 , 嗜酸性粒细胞肺炎依据也不足 。
- 胸部CT显示双肺弥漫分布的马赛克 , 呼吸困难逐渐加重 , 肺功能示限制性通气功能障碍 , 弥散功能下降 , 目前考虑过敏性肺炎可能性最大 。
问题来了 , 究竟是什么引起的过敏性肺炎?
在我们农村 , 农民汗滴禾下土 , 农作中吸入霉干草中的嗜热放线菌、热吸水链霉菌孢子等 , 会引起过敏性肺炎(农民肺) 。 这位患者是绅士 , 居住在城市 , 一般不会接触这些 。
城里人饲养鸽子、鹦鹉等鸟类 , 鸟的大小便、羽毛等 , 也会引起过敏性肺炎 , 但是患者不养鸟啊 。 邻居家养鸟引起的?不可能 , 别人家的别墅很大 , 上厕所都要开车去 。
患者有一只猫和一条狗 , 但是外国人养狗养猫很常见 , 这两个小动物养了很多年了 , 一般不会多年以后突然引起主人呼吸困难 。
家里面的浴室有少量的霉菌 , 可能引起过敏性肺炎 , 但是曲霉IgG / IgE正常 , 不支持 。
肿么回事?
仔细询问病史 , 把患者的日常生活翻个底朝天 , 原来患者最近购买了羽毛做的羽绒被和羽毛枕头 , 相当的高级啊!
禽沉淀素:虎皮鹦鹉 80.6 mg / L , 鸽子46.3 mg / L , 鹦鹉67.8 mg / L(参考值<25 mg / L) 。 看来 , 这个羽绒被物质丰富啊!
治疗" class=" list-paddingleft-2">
患者的症状在第一个月内迅速改善 , 甚至在开始口服皮质类固醇之前 。 到了6个月 , 他感觉完全好了 。
文章插图图5 肺功能逐渐好转
羽绒被肺病(Feather duvet lung) , 在2003年 , 有学者起了这个名字 , 挺别致的啊 。 提醒大家 , 特别是过敏体质 , 购买床上用品 , 要三思而后行!
鸟的羽毛里面有些蛋白抗原 , 会引起肺部出现III、IV型变态反应 , 引起巨噬细胞、淋巴细胞炎症 , 肉芽肿形成 , 引起全身不适 , 胸闷 , 呼吸困难 。 长期反复发作 , 可能导致肺纤维化 , 肺心病 。
莫非这就是:没有买卖 , 就没有伤害?
另外 , 患者生病 , 病史很重要!详细地询问病史 , 我们生活的方方面面 , 都可能引起呼吸困难 。
- 上厕所很困难的人,牢记“3法,2改”,或能帮你“赶走”便秘
- 痔疮便血严重怎么办,用这些偏方,搞定痔疮不困难
- 剧烈腹痛,多次便血,没想到真凶竟是这个常见药?
- 小伙脊柱多次骨折 竟是遭遇“化骨绵掌”
- 慢阻肺患者长时间深呼吸会碱中毒!掌握好这个呼吸方法才是最节能的呼吸法!
- 呼吸科处方挑战来了,这些「坑」你踩过吗?
- 呼吸内科医生心里话:尽快戒烟吧,别等慢病缠上身!
- 睡眠呼吸障碍患者的呼吸机治疗选择
- 杜新枝弟弟,此前多次嘱咐姐姐给孩子打乙肝疫苗,却被直接忽视!
- 嗜酸性粒细胞在脓毒症和急性呼吸窘迫综合征中的作用:应用范围研究
