几天前,曙光医院心胸外科王医生的一个好朋友焦急地找到了她。询问之下,原来是体检的时候发现肺里面发现了结节,个头还不小。“那一刻她就好像看到了生命的尽头,从感慨为何是自己遇到这种事,到开始思考人生的意义,甚至开始做遗产分配?!”王医生说,临床上,像她朋友这般“谈结节色变”的大有人在,但其实却大可不必。想要避免这种不必要的惊慌,我们首先要弄明白肺结节究竟是什么?随着CT、体检的普及,越来越多的人在检查中发现自己有肺结节,且发病年龄越发年轻化。很多人看到检查结果,第一反应就是“肺癌”。而研究表明,肺结节和“肺癌”并不是一回事,现阶段大概两成的健康人群存在肺结节。
文章插图
何为肺结节?事实上,结节只是影像学里的一个描述性的词语,不是病灶的性质,也就是说这并不是个医学诊断!影像学里,胸部CT检查发现类圆形的直径小于3cm的密度增高的病灶通常被描述为结节灶,直径小于1cm叫“小结节”,小于0.5cm叫“微小结节”。
文章插图
但这并不意味着“结节患者”可以高枕无忧了!因为,一部分肺结节患者确实可能是肺癌患者。所以,大家最关心的,也是医生们要做的,就是如何鉴别出结节的性质是良性的还是恶性的,然后给出相应的诊疗建议。
文章插图
图1 ?肺结节“长相”不同肺结节可以分成3种虽然都叫肺结节,但根据“长相”不同,肺结节一般可以分为三种:纯磨玻璃结节、部分实性磨玻璃结节和纯实性结节。第一种,磨玻璃结节(Gross glass nodule, GGN),或者磨玻璃阴影(Gross glass, opacity, GGO)所谓磨玻璃,就像我们生活中看到的磨砂玻璃一般,有一层遮挡,但仍可以看到玻璃后面的肺组织。
文章插图
文章插图
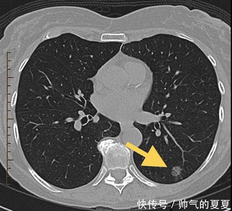
图2 ?纯磨玻璃结节第二种结节,实性结节(Solid Pulmonary Nodule, SPN)从CT图像看,结节的密度高,完全不透明了,已经看不到黑黑的肺组织,这就是实性结节。
文章插图
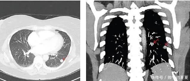
图3 ?实性结节第三种,混杂型磨玻璃结节(mixed Gross glass nodule,mGGN)这种结节处在前两者的“中间”,在CT图像上表现为磨玻璃和实性结节的混合,磨玻璃阴影里还带有,实性成分。
文章插图
图4 ?混杂磨玻璃结节3种结节,既可能是良性的,也可能是恶性的。良性的有球形肺炎、结核球、错构瘤良性、纤维增生。恶性的结节往往有一些特殊表现会写在你的CT报告单上,如“毛刺征”“分叶征”“胸膜牵拉征”“微血管征”“棘突征等”。治病有一大黄金准则是“早发现、早诊断、早治疗”,特别对于癌症!那如何更准确的进行诊断?这也是大家关心的问题。案例:“良、恶”难辨,要做“肺癌自身抗体检测”51岁的李某,男,2020年体检发现肺部结节,胸部CT:右下肺磨玻璃结节,约7mm大小,其内低密度影。遂到我院就诊,首次CT及追踪3月后CT所报结果均不能区分结节是良性还是恶性。单独做CT难以评估结节性质,患者本身也较为焦虑,遂建议其验血做“肺癌自身抗体检测”,结果显示:SOX2阳性;GBU4-5阳性。两方联合诊断高度怀疑肺部肿瘤,患者很快便选择进行手术治疗。手术切除后病检结果显示:(右下肺背段)肺微浸润性肺癌。什么是肺癌自身抗体检测?“肺癌自身抗体检测”是核医学科近年引进的一个新兴超早期肺部肿瘤筛查项目,只需要抽一管血,便可结合CT有效地进行肺癌初诊。人体在各种致癌因素影响下,我们的免疫系统识别这些肿瘤细胞,做出应答,并且针对这些肿瘤细胞上的特异性抗原,而产生相应的抗体,这些抗体就称为“自身抗体”。
- 尿毒症|43岁女性身患尿毒症,她的经历值得我们警惕,有哪些注意事项?
- 健康|女子意外确诊甲状腺结节,是“生姜”惹的祸?医生辟谣,说出实情
- 1.2厘米的大磨玻璃结节未必是肺癌,反而小结节是原位癌,需警惕
- 63岁大爷患甲状腺结节,通过吃“黄瓜”散结,结果如何?不妨了解
- 肺结节科普系列|肺结节患者,到底该怎么随访?
- 被宝妈疯狂安利的葵花一生护卫卫生巾,到底好在哪里?_卫生巾_什么值得买
- 对于孩子的过敏性鼻炎,我可真是操碎了心_妇婴健康_什么值得买
- 长寿始于脚,男女低头看看双脚,有4个症状的人,值得炫耀!
- 有关肠道健康,你想知道的都在这了_食品健康_什么值得买
- 备孕期女性在经期吃什么好?_妈妈护理_什么值得买
