(这一段非专业人士可以忽略,这里解释了粘液腺癌治疗效果有差异的一部分原因)
首次发现的肺结节,为什么医生轻易不下良性的诊断?
看完上面这些介绍,相信大家对这个疑问就心中了然了。没错,有些恶性肺结节早期会伪装,需要一定的时间让它们露出狐狸尾巴,及时铲除!
文章插图
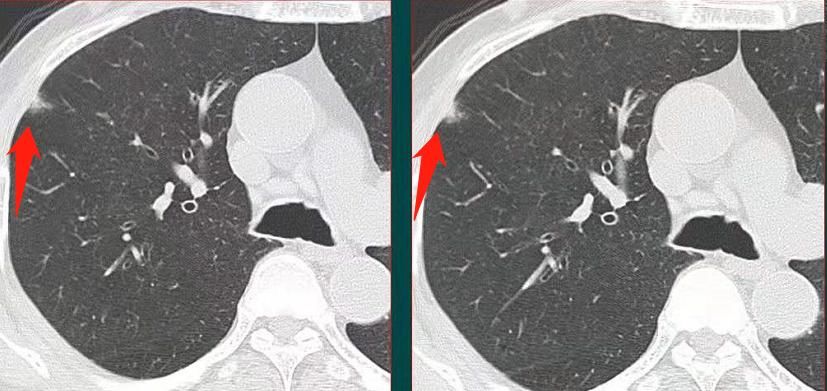
像这位60多岁的男性,没有症状,体检发现右肺斑片状影,边界不清,看起来很像一点炎症。
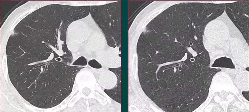
但他抗炎治疗后3-4个月复查显示,病灶没有消失,并且有缓慢增大的趋势:
文章插图
狡猾的狐狸也藏不住自己的坏尾巴,果断手术切除,病理是浸润性粘液腺癌。
粘液腺癌治疗效果怎么样?
跟其它类型的肺癌一样,只要及时发现,早期可以治愈!这方面的数据,国内要优于国外,国外只找到一个小样本研究,如果完全切除,研究显示外科切除的孤立粘液腺癌的8例患者,5年总生存率为100%。国内的数据更大,结果也同样乐观!
所以综上,展示了定期体检以及对小病灶定期复查的重要价值!
最后,如果没有早期及时发现,到了晚期的粘液腺癌是什么样的表现呢?
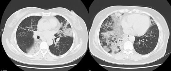
下图是一位52岁的女士,咳嗽低热一个月,伴有较多白色泡沫样痰,CT发现双肺多发斑片状及磨玻璃结节状影,边界不清,内可见支气管充气征,后来确诊为粘液腺癌,癌细胞随着黏液,沿着气道四处播散,已经没有手术机会了:
文章插图
好在这位女士对化疗敏感,而且很幸运地基因检测阳性,通过化疗和靶向治疗,生存了5年多。
晚期肺癌的带瘤生存期,一直在延长,医学是不断进步的!
我是影像科豪大夫,分享小病例,传递正能量,欢迎关注!
本文参考文章:
肺粘液型腺癌病理,王兆宇,舟山肺癌研究中心;
【 这类肺结节容易漏诊,错把肺癌当肺炎】结节型早期原发性肺粘液腺癌的CT诊断,曹捍波,舟山肺癌研究中心;‘
- 健康|女子意外确诊甲状腺结节,是“生姜”惹的祸?医生辟谣,说出实情
- 1.2厘米的大磨玻璃结节未必是肺癌,反而小结节是原位癌,需警惕
- 63岁大爷患甲状腺结节,通过吃“黄瓜”散结,结果如何?不妨了解
- 静脉|为啥“白瘦美”的腿上更容易长“青筋”,看完这篇文章你就明白了
- 肺结节科普系列|肺结节患者,到底该怎么随访?
- 为何人年纪一大身上容易发臭?女人不想尴尬,40岁后,请牢记5
- 你比别人更容易焦虑、恐惧,可能预示着你的肠道功能出了问题
- 体内阳气过盛,血压容易高!水里加点“料”,辅助降血压、化痰瘀
- 饮食养生|孩子肠胃总不好,容易积食,不妨用“3果”煮着吃,或能帮助缓解
- 饮食养生|发现胸部有结节?可多吃“二物”,助疏通肿块,为女人的健康护航
