今天诊断1例胎儿室间隔肌部缺损,不是因为水平高,只是因为太典型而已。 
文章插图
事实上,胎儿室缺,是超声医师心中永远的痛!诊断率不高,漏诊率不低。书上写得很典型,实际工作中往往很难操作。
室间隔缺损(ventricular septal defect,VSD)是最常见先天性心脏病之一,可以单发(约50%),可以是复杂心脏畸形的组成部分,也可以并发心外畸形及染色体异常,约占所有先心的30%,发生率为2‰。
VSD的超声声像图特征:
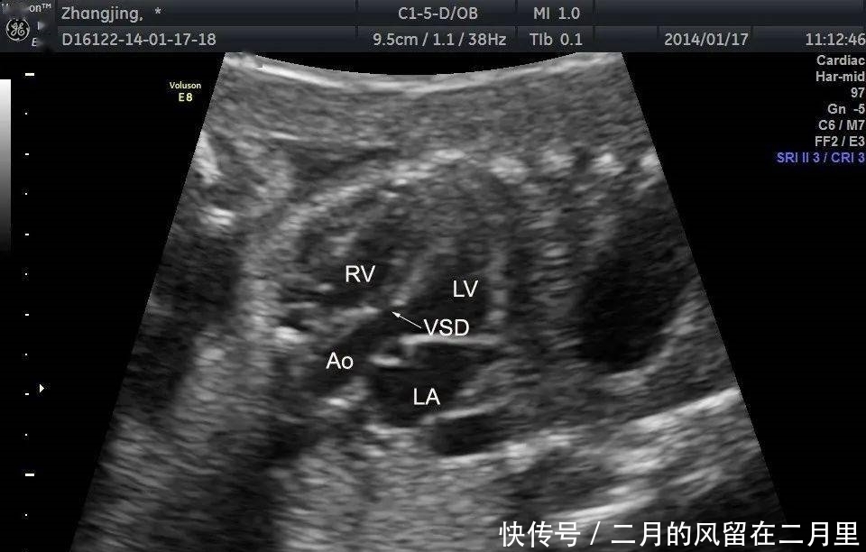
(1)室间隔连续性中断,缺损部位断端“回声增强”;
(2)缺损处出现双向分流,CDFI检测可见不同时相红蓝双向的血流
以下是我们掌中宝里几张图,很典型,很清晰。 
文章插图
文章插图
文章插图
体会:
必须是彩色血流穿越室间隔才能够诊断
必须能够重复发现这个室缺
必须全面扫查整个室间隔(四腔心,左右室流出道。心尖)
必须注意有无其它畸形和染色体异常
想起很多年前看过的一首印象深刻的诗歌“生命里的一天”,与大家共享:
又是新的一天,
上苍赐给我这新的一天,
我做什么都可以:
我可以浪掷虚度,
也可以小心珍重。
今天我要做的事非常重要!
因为我把生命中的一天和它交换。
当明天来到,
今天永远消逝。
填补它的空缺是我所完成的事。
我努力耕耘,不要损失;
我选择善良,不要邪恶;
我渴望成功,不要失败。
因为我要永远记住:
我为这些所付出的是我生命里的一天。
祝贺2020江苏省出生缺陷防治培训班第二批学员顺利结业!感谢你们的友谊,祝工作顺利,未来辉煌!也感谢我科各位带教老师和授课老师的辛勤工作[玫瑰][玫瑰][玫瑰][握手][握手][握手] 
文章插图
文章插图
文章插图
【 胎儿室缺,超声医师心中的痛】
文章插图
- 心脏粘液瘤的超声诊断及鉴别…
- 电磁辐射对孕妇和胎儿产生影响吗?
- 震惊!女子怀孕近4个月,胎儿却不在子宫里
- 四川大学华西第二医院:管理创新征服“金字塔尖”上的胎儿医学
- 胎儿超声标准切面详解…
- 孕期压力会影响胎儿发育,尤其是女宝宝
- 感受科技魅力,六院超声医学科开放日,“小超人”沉浸式体验动态影像世界
- 核磁共振引导的聚焦超声技术促进了脑癌研究
- 精索静脉曲张的超声诊断标准
- 造福肿瘤患者,四川超声介入治疗学组成立
