【 新生儿先天性巨大颈部肿物成功手术,家长为医护人员送来别样礼物】齐鲁晚报·齐鲁壹点采访人员 陈晓丽 通讯员 郭新元
近日,山东大学第二医院新生儿MDT团队为一出生2天的新生儿成功实施了先天性巨大颈部肿物切除手术。
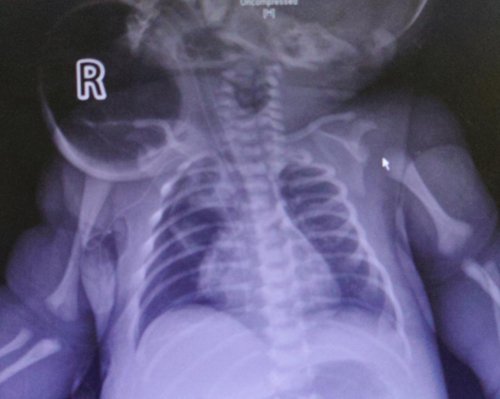
患儿为38+3周,出生体重为3.50 kg。孕检发现颈部肿物,出生后转入山大二院新生儿科。患儿颈部肿物进行性增大,逐渐出现呼吸困难并进行性加重,予气管插管呼吸机辅助通气。同时行胸片、胸部CT及颈部MRI提示右颈部见一巨大囊性异常信号灶,病灶最大截面约7.2cm*6.3cm,内见多水平分隔,对周围气管等组织造成压迫并导致移位;同时还存在纵膈气肿,双肺炎症。

文章插图
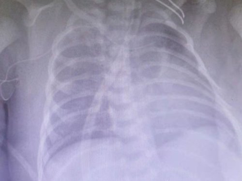
MDT专家团队考虑,若不切除肿物,继续增大的肿物会压迫咽喉 “要道”,最终阻断患儿呼吸。医学影像中心副主任仲海、咽喉头颈外科副主任贾涛、儿外科主任医师王若义、麻醉二科副主任冯昌评估风险、提出注意事项及手术方案,为术中切除肿物提供重要信息。因肿物张力大,术前先行穿刺引流。贾涛团队主刀行颈部肿物切除术,术中见一巨大囊性肿物,约7cm*6cm大小,囊壁与颈阔肌黏连紧密,沿囊壁仔细分离,见该肿物向上至口咽水平,向下至锁骨水平,向后至椎前筋膜,向外至颈动脉鞘黏连紧密,向内与气管右侧黏连紧密,仔细分离,见其根蒂位于第2-3气管环右侧缘,于根蒂出结扎切断,完整切除囊肿,手术区域解剖结构暴露清晰,手术过程顺利,仅耗时90分钟,重要血管、神经、脏器均毫发无损,患儿不再被肿物“扼住喉咙”。术后,患儿颈部压迫症状明显减轻,复查胸片纵膈内气体明显减少,安返新生儿科,通过细致的术后管理,患儿正在逐步康复。

文章插图

文章插图
术后复查胸片,纵膈内气体明显减少
近年来,新生儿科积极开展新生儿、早产儿的疑难危重症收治工作,在兄弟科室的大力支持下,科室在疑难杂症的诊治方面积累了丰富的临床经验,其精湛的医疗技术、细致的医疗服务,赢得了家属的广泛认可。

文章插图
新生儿科收到的别样感谢信
- 宝宝|18岁女生产下男宝后住宾馆,喂新生儿喝老年奶粉,宝爸去哪了?
- o型腿|新生儿最害怕这3件事,新手父母尽量提前了解,能让宝宝少受罪
- 先天性|警惕!我国每30秒就有一名缺陷儿出生!怎样预防才有效?
- 宝宝|出生后第3天 宝宝甩掉巨大畸胎瘤
- 宝妈|新生儿出现这几个异常情况,都是正常现象,新手爸妈不用担心
- 母乳|新生儿“自带三天口粮”不用喂?别盲目迷信母乳,坑了娃
- 括约肌|不要对新生儿做这11件事,第5和第8尤其要注意!
- 宝妈|新生儿出生后为啥医院要留“脚印”?医生轻易不说,父母要有数
- 孕育|科学孕育 预防巨大儿
- 剖腹产|新生儿第一口,应该是先喝水,还是吃母乳?这一点对宝宝很关键!
