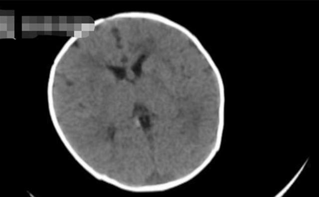
说起“脑出血”这种疾病,我们第一个想到肯定都是老人,或者年纪稍大的成年人,但如果我跟你说“脑出血”的情况就发生在刚出生没多久的孩子身上,你会不感到诧异?
这件事不久前就发生在广东清远,当地有几个出生没多久的孩子,身体出现了异常状况,其中一个是刚刚两个月大的女宝,舌头出有出血状况,另一个则是未知原因的呕吐。

文章插图
两个孩子送医仔细检查后,居然发现得的全是“脑出血”?这让很多人都难以置信,这种大多只会出现在老人身上的疾病,为什么会在几个月大的孩子身上出现?
后来经过仔细了解分析,医生最终给出了肯定的答案,原因在于这些宝妈在坐月子期间都基本没吃过任何青菜。
为啥这些宝妈在月子里会不吃青菜呢?
关于不吃青菜,据这些宝妈们介绍,是因为当地存在的“坐月子不能吃青菜”的传统,在当地老人的传统观念里,青菜是凉性食物,坐月子期间吃了会对宝宝不好,导致宝宝肠胃紊乱。

文章插图
于是这些宝妈在坐月子期间就确实没吃过青菜。
那不吃青菜和宝宝们的“脑出血”又有啥关系呢?
原来,宝宝们之所以会出现“脑出血”的情况,主要是因为体内缺乏一种维生素,即“维生素K”。
维生素K是一种有助于血凝的维生素,孩子如果体内缺乏这种维生素,就会有大几率患上“维生素K缺乏症”,这种缺乏症导致的后果就是孩子容易得一系列的“出血性疾病”。
在这其中最危险的也莫过于“脑出血”了。

文章插图
而孩子体内缺乏维生素K,这和宝妈们的月子期饮食是脱不开关系的,各种青菜中会含有丰富的维生素,就包括维生素K,宝妈不吃青菜,就会间接影响母乳喂养的宝宝。
坐月子不吃青菜,孩子就会得“脑出血”?
难道坐月子不吃青菜,孩子就会容易患上“脑出血”?当然不是,这也和孩子的具体情况以及孩子的敏感性相关。
另外,很多医院在孩子出生后其实都会给孩子来上一针的“维生素K”,为的就是对孩子的维生素K进行补充,预防类似的情况发生。
只不过,并非所有医院都会这么做,在不少医院孩子出生后也不会打这一针。并且,每个医院打针的具体剂量、具体时间和频次,也都会存在差异。

文章插图
所以,平时宝妈们一定要时刻注意孩子的具体状况,如果存在嗜睡、精神状态不好、哭闹、呕吐甚至抽搐等情况,家长千万别大意,一定要及时带娃去就医检查。
母乳喂养的宝妈更要注意这点,母乳中维生素K的含量本就不高,如果坐月子期间宝妈饮食结构再不合理的话,孩子自然容易出现“维生素K缺乏”的情况。
而且,家长们也别再盲目的听信“月子期间不能吃青菜水果”的说法了。虽然很多地区都存在这种说法,但实际上却并不科学。
之所以会有这很种说法无外乎是担心吃了凉性的食物宝妈会消化不好,哺乳给孩子容易造成孩子拉肚子,而事实上,月子期间营养均衡十分重要,水果青菜啥的该吃都得吃。

文章插图
根据《中国居民膳食营养素参考摄入量》中的建议:哺乳期间宝妈至少每天保证摄取80-85微克左右的维生素K。
而一般的绿色青菜中,每100克所含的维生素K大都在几十到几百微克不等,由此可见,孕期想要补充足量的维生素K其实一点儿都不难,但前提是“月子期吃水果青菜”。
最后,关于哺乳期间给孩子补充维生素K还有以下几点需要注意
1)维生素K缺乏症多出现在1-3月的宝宝身上
孩子刚出生这段时间里,宝妈一定要注意自己的饮食结构,尤其是母乳喂养的宝妈,注意维生素K补充,另外多注意孩子的状况,一旦有异常及时就医检查。

文章插图
2)不要私下给孩子补充维生素K
孩子对于维生素K的需求有是有具体的用量要求的,如果宝妈疑似孩子缺乏维生素K,需要补充的话,请及时就医咨询,遵医嘱进行,不要私下给孩子补充维生素K。
3)月子期蔬菜水果要吃新鲜的,同时注意营养均衡
- 宝宝|18岁女生产下男宝后住宾馆,喂新生儿喝老年奶粉,宝爸去哪了?
- o型腿|新生儿最害怕这3件事,新手父母尽量提前了解,能让宝宝少受罪
- 宝妈|新生儿出现这几个异常情况,都是正常现象,新手爸妈不用担心
- 母乳|新生儿“自带三天口粮”不用喂?别盲目迷信母乳,坑了娃
- 宝爸|孕妇的这个部位在怀孕时候越大,宝宝出生也会越聪明,有科学依据
- 括约肌|不要对新生儿做这11件事,第5和第8尤其要注意!
- 宝妈|新生儿出生后为啥医院要留“脚印”?医生轻易不说,父母要有数
- 剖腹产|新生儿第一口,应该是先喝水,还是吃母乳?这一点对宝宝很关键!
- 体重|新生儿体重对智力有一定影响,越接近这个数字越聪明,你家娃多少斤?
- 新生儿|新生儿出生“一件事”一次办理 淄博发布集成服务方案 下载爱山东APP可申请
