欢迎来到我的娱乐小店!导语:孩子身上的味道总是很诱人,特别清新,给人感觉很舒爽,但是孩子渐渐的长大了,这种味道就消失了。可是尽管如此,孩子身上如果出现难闻的气味也是异于寻常了。案例:最近,刘女士说自己的儿子在学校里被同学给孤立了,为什么会这样呢?因为同学们都嫌弃自己的儿子嘴里有臭味。

文章插图
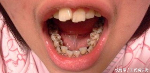
同学说每当靠近他的时候,这种臭味就会熏得他们想吐,因此,他们只得远离他。刘女士靠近儿子的嘴巴闻了一闻,果然是有很大的臭味。可是,为什么小小的孩子嘴巴如此臭呢?刘女士百思不得其解

文章插图
无奈之下,只好带着孩子去医院做检查,后来经过检查之后,医生在他的嘴里取出了一个黄黄的东西。奇臭无比,刘女士闻过之后都忍受不了。医生对刘女士介绍说这就是结石,正是因为这种东西的存在,所以才让孩子的嘴里产生的臭味。医生嘱咐刘女士一定要定期给孩子清洁牙齿,如果清洁不彻底,还会再次出现口臭的毛病。

文章插图
分析:生活中,小孩子是不应该出现口臭的,一旦出现了口臭想要避免这种情况的出现,家长就要做好以下几个方面:每天养成良好的运动习惯

文章插图
白天在外面,家长总是担心孩子吃不好,因此会在晚上的时候,给孩子做各种各样的好吃的,吃完之后就让孩子去写作业,或者直接在家里看电视,这就很容易导致消化不良的情况出现了。
【 水漱|孩子被嘲笑“嘴太臭”,被同学孤立,医生取出小颗粒,宝妈都嫌臭】
文章插图
最好的做法是,在晚上吃完饭后,带孩子下去散散步,即使活动半个小时,也很少会出现消化不良的情况。良好的卫生习惯必须要保持有些孩子在白天玩的很累,等到已经困到睁不开眼的时候,才会上床睡觉,不得不说,这不仅仅是不讲究卫生的做法,而且还会让孩子产生口臭。

文章插图
让孩子养成定时排便的习惯,很多的孩子不喜欢在学校里面大便,因此在晚上或者早餐的时间,让孩子养成了定时排便的习惯,就不会便秘,也就减少了产生口臭的一个因素。孩子有了龋齿要重视孩子们喜欢吃糖,而且吃糖之后不喜欢漱口,含糖分的污渍粘在牙齿上,长时间得不到清理。这就会导致牙齿出现龋齿。

文章插图
即使孩子在吃奶,也要尽可能让孩子吃完之后,用水漱漱口,尤其是在夜间的时候,很容易会产生龋齿,家长要足够重视孩子的口腔卫生。结语:一旦孩子出现了口臭的毛病,家长一定不要大意,不仅仅是影响孩子交际,而且还可能是身体某个部位出现了病理性的问题,要及时带孩子去看医生,彻底的解决根源上的问题。谢谢您的阅读,请点击关注阅读!
- 宝妈|那个生完孩子没多久,就变成“老太太”的80后宝妈,后来咋样了
- 才子|孩子是这3属相,小时是孝子,长大是才子,一直在给父母争光
- 独生女|女子怀孕2次到预产期后孩子却没有了,老公提疑问才知事情不简单
- 妈妈|喝“母乳”和喝“奶粉”的孩子,长大后有哪些区别3个区别明显
- 弓立芳|如何进行高质量亲子沟通?要“把话说进孩子心里”
- 父亲|“谁有吃的给我孩子吃一点”父亲在公交上求助,得知原因乘客泪奔
- 孩子|剖腹产划伤孩子头部,医生很快就会好的,7年后家长找上医院
- 孩子|孩子晚于这个点睡觉,身高发育至少损失5cm,也别早于这个点起来
- 孩子|育儿假:刚需+硬核
- 宝宝|8岁男孩依然在吃母乳,断奶几次都失败告终,对孩子会有影响吗
