舒适|3岁男童“一觉”醒来满口烂牙变白牙 无痛舒适化口腔治疗让孩子轻松看好牙
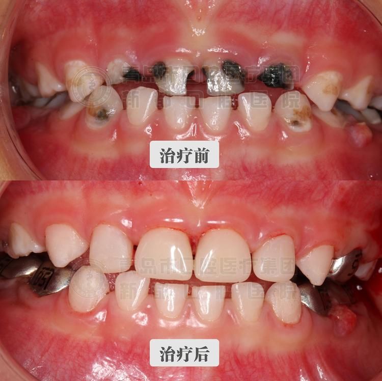
大众网·海报新闻采访人员 赵尊 青岛报道随着人们口腔卫生保健意识的增强和生活水平的提高,儿童口腔疾病越来越引起家长的重视,然而震耳欲聋的号啕哭声、在诊疗椅上扭动抗拒大喊“我不要”,相信是许多家长带孩子看牙医时最无可奈何的一刻。12月17日,佳佳(化名)父母带着三岁半的佳佳从莱西辗转一百多公里来到青岛市口腔医疗集团新都口腔医院进行治疗,经过三个半小时,佳佳15颗龋齿修复治疗顺利完成。该院开展的无痛舒适化口腔治疗让患儿在全麻下一次性治疗所有患牙,大大缩短了治疗周期。“只要宝宝睡一觉,醒来我们还他一口健康的牙齿。”青岛市口腔医院儿牙专家赵霞主任说。
文章插图
睡一觉醒来 15颗龋齿全“消失”佳佳平时没有良好的口腔卫生习惯,一年前有颗牙齿开始发黑,变坏,家长当时也没太在意。可最近两个月牙齿变坏的速度加快,牙龈出现鼓包流脓的情况,脸肿的厉害,坏牙甚至要多于健康的牙齿。佳佳因为牙齿的疼痛寝食难安,家长看了之后也心疼不已。佳佳的母亲带着他去了当地牙科诊所检查,根据检查,佳佳共有20颗牙齿,其中15颗已经变坏,需要治疗。“当时也去了好几个地方,由于牙齿坏的太多,一颗颗治疗的话,孩子很害怕也不配合,所以不太现实。”佳佳母亲说。后来经过打听、比较,最后选择了青岛市口腔医疗集团新都口腔医院,采用无痛舒适化口腔治疗。
文章插图
【 舒适|3岁男童“一觉”醒来满口烂牙变白牙 无痛舒适化口腔治疗让孩子轻松看好牙】据赵霞介绍,以往的儿童口腔疾病治疗过程,一次最多治疗1~2颗坏牙,而且有些牙齿可能要进行多次治疗。倘若全口都是蛀牙,那么治疗的周期就会大大增长,会长达半年或者半年以上。在龋齿治疗过程中,最大的难点在于孩子的配合度。一般情况下,年龄较小的儿童,较难配合医生进行复杂的口腔治疗。以往的捆绑束缚式治疗不仅会使孩子哭闹挣扎、逃避治疗,治疗效果也是差强人意,严重时会导致孩子患上“牙科恐惧症”。“而现在针对于儿童口腔出现的这种全麻下舒适化治疗就具有非常明显的优势。”赵霞说到,“相比于以往的治疗手段,在全麻状态下,医生能够提高治疗的质量,可以一次性进行全口换牙,省去了家长和患儿的多次奔波,同时患儿不会产生任何的痛苦的记忆,孩子们睡一觉醒来就有了一口健康的小白牙”。
文章插图
多学科联合 权威团队专业守护很多家长可能还是会对“全麻”这样的字眼产生疑虑,那么这种治疗手段到底会不会对孩子产生负面影响呢?赵霞解释到,全麻下儿童口腔治疗现已发展成为非常成熟的临床技术,患儿进行全麻手术时,过程是由经验丰富的专业麻醉医师进行,根据孩子个人情况选择最佳药量,并利用专业设备全程监控身体情况,过程中会有麻醉医师、医护人员全程陪同,保障治疗安全进行。“综合来说全麻下儿童口腔手术既安全又快捷,孩子还不会遭罪,是一个比较好的治疗选择。”但该项手术治疗对医生要求较高,目前青岛能开展此项手术的仅有四家,新都口腔医院便是其中一家。赵霞主任领导的全硕士医生团队对每一位患者的每一份病例都由团队医生共同会诊确认,多学科联合,既提高了治疗方案的科学准确性,又能为患者提供更全面专业的精细化服务,现已成功开展多例儿童无痛舒适化口腔治疗。
文章插图
同时,新都口腔医院斥巨资配备了先进的全麻手术设备。麻醉机采用的全球领先医疗器械品牌迈瑞,其具有可旋转一体化集成呼吸回路,能够很好的避免误接、脱管风险,而且它还拥有高达134℃的高温高压消毒处理功能,可杜绝患者交叉感染。除此之外,还有迈瑞监护仪、迈瑞注射泵、飞利浦心电图机、鱼跃吸引器等共同组合成了新都口腔医院超级强大的全麻手术室。口腔健康需重视 发现问题要趁早根据青岛市首次口腔健康流行病学调查初步结果显示,青岛市儿童龋病发病率较高,3岁、5岁儿童乳牙患龋率分别为52.4%和70.9%。赵霞说,当乳牙龋坏达到了一定的数量,就会影响到孩子的咀嚼和饮食,进一步就会影响到孩子的营养摄入,甚至会出现偏食厌食的症状。儿童正处于生长发育的旺盛期,就会导致儿童的颌面部及全身的发育都会受到影响。在这种情况下,如果不及时治疗牙齿,乳牙的龋坏就会进一步发展成为牙髓及根尖周疾病,就会影响继承恒牙的发育,从而造成恒牙的发育异常或者萌出异常。同时,前牙区的龋坏,也会影响到美观,给儿童的正常的心理发育造成一定的影响。最后,赵霞主任强调,家长们一定要重视孩子的口腔问题,龋病的预防首先要养成良好的口腔卫生习惯,定期进行口腔检查,根据龋齿的各个阶段的临床表现做到早发现早治疗,并根据自身的情况接受窝沟封闭等龋病预防措施。
- 小男孩|四川绵阳3岁萌娃熟练弹奏数十首钢琴曲 背后故事令人泪目……
- 弟弟|1米6就不长了!妈妈悔惨:儿子才13岁,6岁弟弟的情况更糟
- 弟弟|3岁哥哥照顾5胞胎弟弟,弟弟们看到哥哥过来,妈妈都觉得省心了
- 宝爸|3岁女儿躺在地上不肯走,宝爸淡定处理获惊叹:上哪买来的孩子
- 孩子|“吸血妈妈”让13岁女儿做家务,自己却带小宝宝们享福,太残忍
- 爷爷|3岁孙子家中窒息死亡,医生一语道出真相,爷爷怒扇奶奶
- 胚胎|美国53岁华裔单身妈妈,生下了第四个孩子,2岁儿子的龙凤胎妹妹
- 生病|吃母乳的宝宝为啥总生病?原来妈妈犯了8个错误,3岁宝妈经验分享
- 个子|4岁男童身高126cm,只因爷爷教的这个消食习惯,建议家长学习一下
- 营养物质|新版“儿童身高标准”出炉,3岁没到这个数的,父母就要抓紧了
