宝妈|宝妈们,孩子的双排牙可能都是你们造成的!
1近年来,一些孩子在换牙时乳牙还没有脱落,新牙就从里面冒了出来形成双排牙的现象越来越多。
文章插图
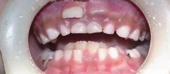
近日,一位西安的妈妈为自己的6岁女儿烦恼不已,“我女儿怎么长了双排牙齿……”随后带着孩子前往医院就诊,经医生检查后,孩子被确诊为乳牙滞留,随后医生给她拔除了滞留的乳牙。
文章插图
这位来自姑苏的妈妈同样有这样的烦恼,儿子到了换牙期,他却一直没动静,直到8岁才出现换牙迹象,由于乳牙沒有及時脫落,下门牙竟然出现了前后“双排牙”,看着十分吓人。
文章插图
从合肥市口腔医院的统计显示,如今“双排牙”已成为常见的儿童口腔疾病之一,要占到儿童口腔疾病30%左右,在临床上发生率已高达10%。近年来,越来越多的孩子出现双排牙,这种现象被称为乳牙滞留。孩子长双排牙跟日常饮食有很大的关系。家长害怕孩子咀嚼费劲和吸收能力差,为了方便喂养,从小给孩子吃的食物特别精细软烂,水果榨成汁,排骨剃下骨,大米只喝粥,结果使牙齿使用率低,生理磨耗少,造成乳牙不能及时脱落的情况。此外,营养供给过剩也会造成孩子牙胚发育早,乳牙还没脱落,恒牙却已经长出来了。同时,也存在孩子乳牙出现龋坏,甚至牙根发生病变,导致牙槽骨与牙根粘连,使乳牙牙根未吸收或吸收不完全,也造成乳牙不能及时脱落的情况。乳牙滞留有哪些危害?乳牙滞留会造成恒牙异位萌出,导致牙齿排列不齐,影响正常咬合,抑制颌骨发育,影响孩子的面型和美观;不利于孩子清洁牙齿,容易食物嵌塞,造成口臭,影响口腔卫生。乳牙残根残冠滞留,容易损伤口腔黏膜,造成细菌感染,增加患龋齿的风险。如何预防双排牙?建议家长给孩子多吃耐嚼质硬的食物。孩子在生长发育阶段,家长要循序渐进地给孩子吃一些硬度适中、可撕拽的食物,例如可以给孩子吃苹果、甘蔗、玉米、花生等耐嚼的食物,这样可以保持对乳牙良好的刺激作用,促使乳牙按时脱落。如果家长发现孩子口腔出现双排牙,一定要带孩子到正规医院检查,经医生检查确定乳牙下方有恒牙胚或者恒牙已经萌出,在孩子身体适宜拔牙的情况下,最好及早拔除。
文章插图
新闻来源:西安晚报、姑苏晚报 、安徽商报
- 宝妈|那个生完孩子没多久,就变成“老太太”的80后宝妈,后来咋样了
- 才子|孩子是这3属相,小时是孝子,长大是才子,一直在给父母争光
- 独生女|女子怀孕2次到预产期后孩子却没有了,老公提疑问才知事情不简单
- 妈妈|喝“母乳”和喝“奶粉”的孩子,长大后有哪些区别3个区别明显
- 弓立芳|如何进行高质量亲子沟通?要“把话说进孩子心里”
- 父亲|“谁有吃的给我孩子吃一点”父亲在公交上求助,得知原因乘客泪奔
- 孩子|剖腹产划伤孩子头部,医生很快就会好的,7年后家长找上医院
- 宝妈|三个月的宝宝,为何“偏爱”竖抱?抱对了的宝宝更聪明
- 医生|让宝妈提心吊胆的“上环”,过程到底是怎么样的?可能会有点尴尬
- 孩子|孩子晚于这个点睡觉,身高发育至少损失5cm,也别早于这个点起来
