按关键词阅读:
南都讯 采访人员董晓妍 实习生李璇华 通讯员王媛 南都采访人员获悉 , 6月3日 , 广药大附二院(云浮市中医院)急诊接诊一名21岁全身多处挫伤、右肾破裂女性患者 。 所幸 , 经过广药大附一院、附二院多学科协作抢救 , 最终女孩转危为安 。
6月3日当天 , 广药大附二院(云浮市中医院)急诊接诊患者后 , 因其存在休克症状及体征 , 病情相当危重 , 立即开通绿色通道将患者收入ICU抢救治疗 。 入院诊断出其右肾损伤严重以及全身多处其他组织挫伤 , 如不及时救治 , 患者随时有生命危险 。
文章图片
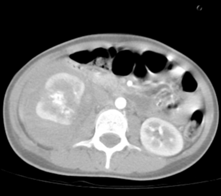
【郑祥|广州云浮两地联动,花季少女成功保肾】右肾破裂
经一系列救治 , 患者暂时病情稳定 , 尿液变清 , 考虑有保肾的希望 , 附二院医疗团队给予其保守治疗 。 就在大家长舒一口气的时候 , 第四天半夜 , 患者留置尿管中突然引出较多血液 , 如不及时治疗 , 患者随时可能出现大出血 , 危及生命 。 附二院泌尿外科主任邢钢第一时间请求附一院泌尿外科主任郑祥光协助治疗 , 郑祥光连夜对患者进行了远程会诊 , 经过诊治患者尿液逐步转清 。 为尽可能给患者保肾治疗 , 避免肾切除 , 两院泌尿外科团队决定将患者由附二院转至附一院进行进一步治疗 。
文章图片
多学科MDT会诊
6月12日 , 患者病情突然恶化 。 在附二院院长傅南琳的指挥下 , 副院长董群伟组织心内科、呼吸科、泌尿外科、ICU会同附一院泌尿外科副主任王森进行MDT会诊 , 进行一系列抢救治疗 , 待患者病情稳定后 , 马上由救护车转运至附一院 。
晚上10点多患者终于抵达广州 。 针对患者的病情 , 附一院泌尿外科郑祥光主任带领团队进行了紧急讨论 , 医院开通绿色通道 , 由郑祥光主任亲自主刀 , 连夜为患者进行了急诊手术 。 术后患者生命体征平稳 。 此时郑祥光主任才长舒了一口气 。
文章图片
郑祥光(左一)带领团队查房
“此次对患者的救治 , 充分体现了‘基层首诊、双向转诊、急慢分治、上下联动’的诊疗优势” , 相关负责人表示 , 两地联动让更多患者能够在更短的时间内得到及时有效的救治 。
图片:通讯员供图

来源:(南方都市报)
【】网址:/a/2020/0621/kd217660.html
标题:郑祥|广州云浮两地联动,花季少女成功保肾