】B医师:
我不太同意是心源性猝死,尤其是急性冠脉综合征引起的。第一,患者是突然起病的,初步判断是心跳骤停,患者的家属虽然进行性心肺复苏,用私家小车送来医院,到急诊室确实是心跳呼吸没有了,但到院前是不是真正的心跳聚停,值得商讨;2、一个急性冠脉综合征引起的猝死,路中没有高质量的心肺复苏,这么长时间,后面是很难复苏成功的;3、急性心梗血D-二聚体如此高,心电图及血肌钙蛋白没有相应表现,换句话说后二者是正常的,很难用急性冠脉综合征来解释。
我个人还是考虑脑血管意外可能,尤其是蛛网膜出血,突然出现意外,D-二聚体很高,说明凝血出血量很大,加上心肺复苏较容易,这些都支持脑血管意外可能。在以往住院总讨论会上,就有类似病例(参见急诊医师值班日志271期最艰难的生死抉择一)。
有一点我一直想不通,为什么血中白细胞如此之高(四万多),不符合脑血管意外,难道是应急或肾上腺素用了后的反应,也可能同时伴有感染可能。
C医师:
以上二位医师分析都有一定的道理,我觉得对于突然出现心跳停止,除了心源性和脑血管意外外,肺栓塞不能除外,患者突然起病,D-二聚体高,心肺复苏相对容易等都支持,但复苏后没有发现肺动脉高压体征(颈动脉怒涨、肺动脉瓣第二心音没有亢进),但患者目前情况不稳定,表现不典型,需要进一步证实。可惜当时没有做个心脏超声。
我当时问了一句:如果肺栓塞引起心跳呼吸停止,在没有溶栓情况下,复苏容易吗?大面积肺栓塞,最基本的改变之一是通气血流比障碍,氧合一定不充分。另外插管后,血气氧分压或氧合能这么好,可以解释吗?
大家展开了热烈讨论,最后参加讨论的医师约三分之二认为不支持肺栓塞所致
D医师:
大家讨论的很好,我也学到不少了,我个人觉在考虑以上这些疾病外,是不是也要想想有没有感染性休克可能,因为患者白细胞计数实在太高了(44.82×109/L)。当然也有不支持的地方,起病太突然了,意外前没有任何感染征兆。
E医师:
我同意以上各位的意见,患者血红蛋白那么低(72.0克/L),失血性休克是不是也不能除外?我没有更多的补充。
F医师:
我还要补充一点,因为患者Q-T间期长,导致不同心肌复极不一致,以致出现尖端扭转性室速,心室肌不能协调地收与舒,结果类似于心跳聚停,这种可能性是存在的。
G医师:
心跳呼吸停止后,有窒息可能,因为患者PaCO2太高了,表示气道有阻塞。
H医师:
患者虽然有腰椎间盘突出,但近二天有腰痛,有没有夹层动脉瘤可能,值得商讨。因为患者有贫血,很可能是夹层动脉瘤破裂出血所致,否则贫血很难解释。腰椎间盘突出主要表现为腰痛,当相应部位发生夹层动脉瘤时,常易误认为是脊间盘疾病加重所致,类似教训时常有发生。
J医师
血小板那么高(正常是10到30万左右,患者近50万,488.0×109/L),加上有贫血,有没有血液系统疾病也是不能除外,至于突然出现心跳呼吸停止,血液系统疾病引起的并发征也是一种诊断选项。
…….
参加讨论的医师讨论很热烈,可谓是一场“MDT”(多学科诊疗模式)。经过近一小时的讨论,最后还是没有明确究竟是什么原因引起的心跳呼吸停止。
在讨论会上,有这么多大脑在思考,仍然如此复杂,如此难确定,何况在抢救现场,要在极短时间,极有限的信息量下,要迅速做出诊断,绝非是一件容易的事。
如果你是一位医师,读到这里,你的诊断是什么?
难、难、难!但作为一位急诊医师,还得继续往前走,因为大家心里非常清楚,稍有不慎,刚复苏回来的心跳呼吸,随时可能再次停止,坠入不可挽回的深渊。
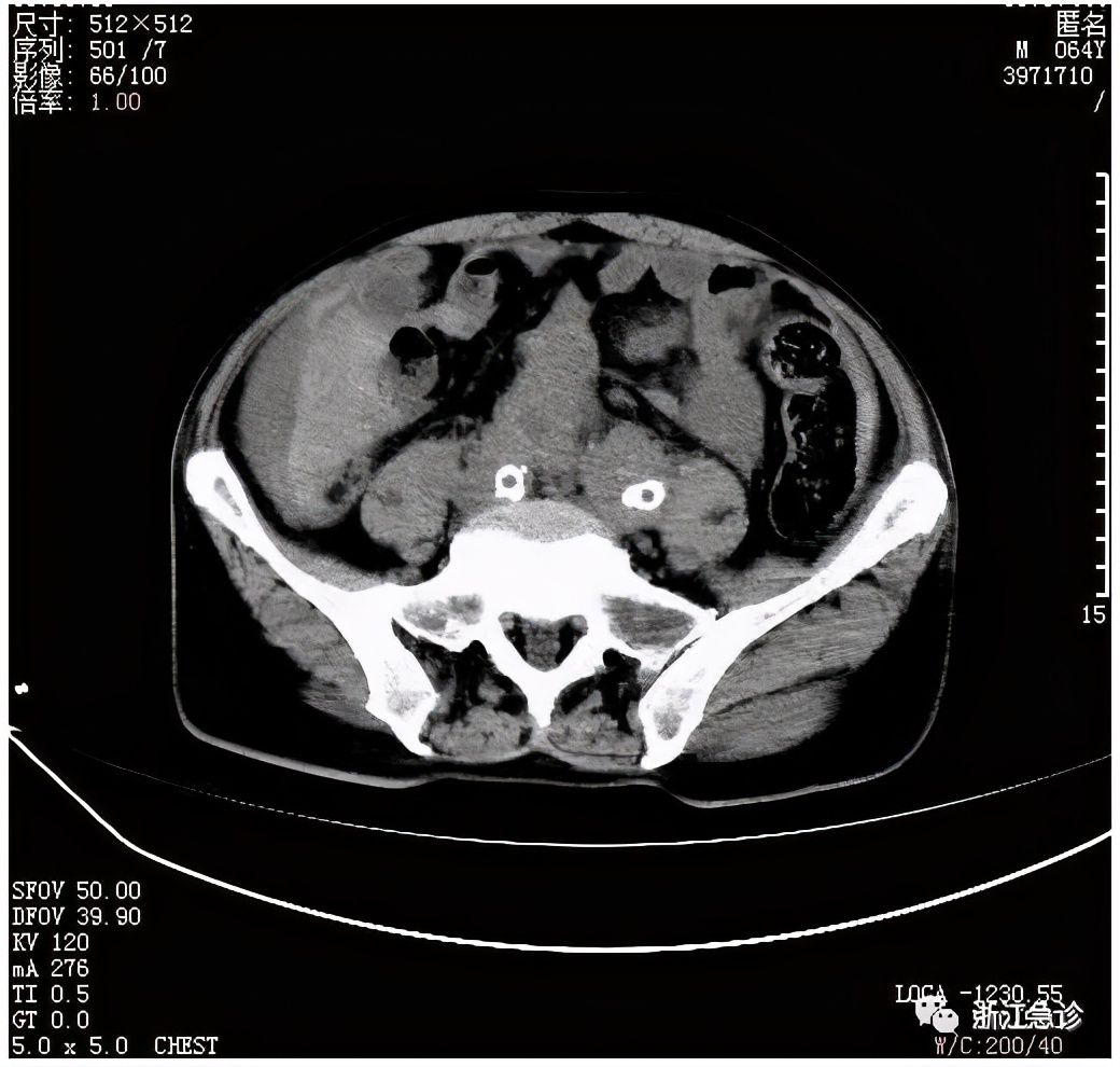
当时,值班医师、住院总医师和三线值班医师经过商量,同样感到一时找不到明确的方向,决定先送重症监护病房抢救,在送去重症监护病房途中,全身做了多个CT(头颅、胸部及腹部CT),终于发现问题所在。 
文章插图
文章插图
文章插图
文章插图
文章插图
又是夹层脉瘤。
送入重症监护病房后,立即进行超声评估:心胸部超声没有发现明显异常,腹腔有积液,证实了腹部CT的发现。
- 复苏|休克复苏的SOSD理念
- 毛芋头|小小芋头,却是治百病的良药,3个药效强大,你或许也需要
- 姜莉|重庆医药高专附一院举行心肺复苏公益培训
- 脂斑|年轻小伙差点因小小的“石头”丢命
- 年度十篇小小 说精选,看完久久不能平静
- 小小英雄|虎娘日报:云顶春节小小英雄预览 宝蓝等待重返赛场
- 药丸|小小药丸有大用,补中益气丸除了补脾胃还有6种妙用,现在才知道
- 骤停|与死神赛跑三十分钟!患者突然晕倒心脏骤停,医生一路跪着心肺复苏
- 新疆医科大学|基于ERAS理念下提高腹腔镜胆囊切除术后复苏即进食率
- 护肝操|肝不好,易疲劳;小小手法,却能养肝
