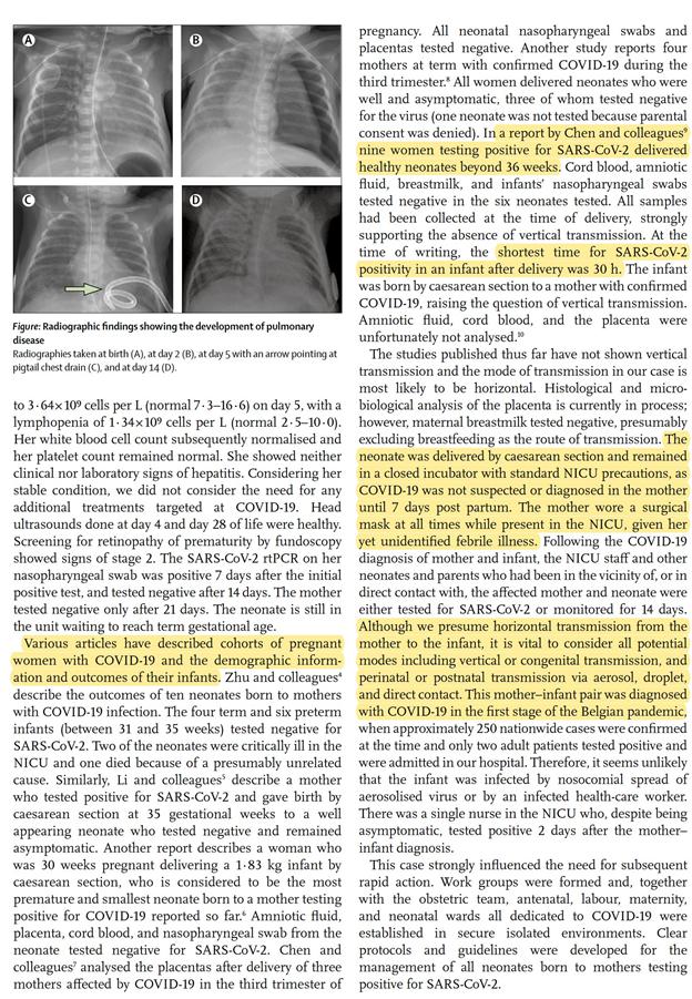
医学界|必读|全球医学界非常担忧新冠病毒感染儿童和学生

文章图片
孩子们应当永远是天真快乐的!
近日来 , 包括中国在内 , 越来越多国家开始慢慢“解冻”社会 , 宽松社交疏远和隔离管制了 。
然而 , 新冠病毒感染婴幼儿、学龄前儿童和青少年学生等案例迅速成为全球医界的关注焦点 。 医学界权威人士为此甚为担忧并坦诚谏言“千万小心 , 保护好孩子们!”
美国国立卫生研究院NIAID所长 Dr. Anthony Fauci , 国际医学界资深传染病和病毒学专家 ,在今天参议院医疗教育委员会质询听证会上 , 他以科学循证为依据 , 力荐平衡“新冠病毒疫情防控措施实施步骤和逐步恢复社会经济行动” 。
Dr. Fauci指出 , 值得特别关注的和令人不安的是儿童和青少年学生感染新冠病毒出现了类似 。

文章图片
NIH-NIAID所长 Dr. Anthony Fauci
这与早些时候观察到弱势群体聚集在养老院老人们或有基础疾病的群体中有所不同了 。 儿童和青少年并非是免受新冠病毒感染的群体 , 部分儿童青少年可能更脆弱 。
Dr. Fauci坦言说“我们对这种新冠病毒仍然一无所知或一知半解 , 我们需要非常小心 , 尤其是儿童感染新冠病毒疾病 。 ”
一旦幼儿园、中小学校和大学恢复正常活动 , 孩子们和学生们很难遵守严格的社交疏远 , 他们喜欢聚集在一起 。
比如在幼儿园、学校校园或宿舍里、运动场所或娱乐场所等 , 这些地方是儿童和青少年常常忽视社交疏远 , 也是老师和家长们难以控制的盲区 。 一旦发生新冠病毒传染或无症状携带者传播 , 事情可能比想象得更糟糕!

文章图片
从一月份疫情开始后 , 在全球顶级医学期刊上已经报道了婴幼儿和青少年感染新冠病毒疾病案例及临床研究综述评论等:
《JAMA儿科》最新综述报告:

文章图片
【需要全文 , 请关注微信平台后留言获取】
《柳叶刀》案例报道:26周婴儿感染新冠病毒

文章图片

文章图片
美国医学会会刊《JAMA》报道:美国和加拿大儿童新冠病毒感染病例临床特点和预后分析:在重症监护室ICU的儿童患者

文章图片
【需要全文 , 请关注微信平台后留言获取】
《柳叶刀》刊发了此研究文章 , 分析了为什么儿童对新冠病毒感染的反应相对于成年人看起来要轻微 。
本文从机体免疫学角度探讨了其潜在原因 , 与成人相比感染新冠病毒之后 , 儿童的免疫系统起有什么作用?我们暂且还不清楚 , 仅仅是一些推论 。

文章图片

文章图片
【需要全文 , 请关注微信平台后留言获取】
- 鲜闻联播|范冰冰官宣全球代言人,晒光影大片秀美貌,被赞真是风华绝代
- 有效性|辉瑞宣布新冠疫苗有效性 90%,全球首款 mRNA 疫苗要来了吗?
- 湖南总部经济加速度 又一企业全球运营中心落户长沙高新区
- 芜湖日报|全球疫情简报:美国日增确诊病例超11万 法国累计死亡病例破4万
- 文化产业评论|打工人火了,“打工人电影”谁是全球最佳?
- 调研|全球性药企纷纷亮相进博会|医生新药认知调研报告发布|吴以芳接任复星医药董事长
- 全球经济|中芬科技人才与产业技术推介会举办 创新资源对接模式
- 全球经济|助力减排 澳大利亚矿业巨头必和必拓与中国宝武钢铁集团签约
- 湖南移动全球通用户重磅福利上线 《金刚川》免费观影强势来袭!
- 江淮晨报|世界显示产业大会下周在肥举办 合肥面板产线规模已位列全球第一梯队
