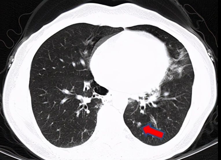
原来,粗球孢子菌病是一种美洲大陆的地方性真菌病,又称为山谷热、加利福尼亚热,主要在美国西南部、墨西哥北部流行,由吸入致病性孢子引起,这种菌一般在地下安静呆着,与人类互不侵犯,但是随着采矿等挖掘活动,就从地下释放到人们的生活环境当中。而医生之所以看到赵阿姨的胶片说还有良性的希望,就是问到了杨阿姨发病前曾经去美国西部旅游过,有可疑的接触史。经过氟康唑抗真菌治疗,赵阿姨左肺结节明显吸收,一家人总算松了口气,悬在头顶的“生死状”终于落了下来。
文章插图
诺卡菌陈小姐咳嗽、咳痰的老毛病已经三年多了,断断续续用了很多药也不见好,最近的胸部CT说又发现了新的结节。陈小姐钻研了各路“就医宝典”,最终决定到中山感染病科看看。
文章插图
医生给陈小姐安排了抽血检查,发现她的炎症指标中度升高,再结合她的病程胸部CT表现,考虑慢性低毒力的病原体引起的肺部感染可能大。有了大致的方向,医生给陈小姐安排了支气管镜检查。取到的标本做了微生物检测,包括传统的培养检查和新兴的基因检测,检出了少见的“盖尔森基兴诺卡菌”,完美证实了医生的推测。经过一系列抗感染治疗,陈小姐随访胸部CT左下肺病灶逐步吸收。
医生说,诺卡菌是一种毒性不是很强的病原体,感染之后一般不会导致高烧、剧烈咳嗽等等急性症状,而是多呈慢性病程。由于有效的药物与一般细菌不同,诺卡菌感染的重点和难点在于诊断,一经诊断,有针对性特效药治疗一般都可以取得良好的效果。
文章插图
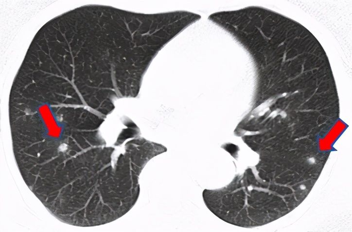
水痘-带状疱疹病毒张奶奶退休后一直在家含饴弄孙。前段时间小家伙被幼儿园同学传染了水痘,发烧出痘折腾了好久,一家人都累坏了。而一波未平一波又起,张奶奶自己又开始咳嗽起来,眼看着咳了一周还不好,查了胸部CT发现双肺有多发小结节。医生建议张奶奶做个支气管镜检查,好明确肺结节性质。
文章插图
支气管镜检查之后,医生安排把取到的标本做微生物基因检测,竟然检出了“水痘-带状疱疹病毒”。看到报告,不用医生解释张奶奶自己也明白了:在照顾小孙子的过程中她日夜不离,很可能就是在这个过程中吸入了病毒。所幸治疗简单,口服抗病毒药物之后,张奶奶双肺的结节都渐渐吸收了。
文章插图
看了这些引起肺结节的感染原因,相信屏幕前的你,对肺结节的认识已经超过了99%的人。所以,如果你CT发现了肺结节,先别慌张,别自己吓自己(也别先把银行卡密码告诉出去),除了胸外科,不妨先去看看对“感染性肺结节”有经验的呼吸或感染病科。大概率上你不用开刀。对于很小的肺结节(直径小于6mm的单个肺结节),可以间隔几个月复查胸部CT、而不急于开刀或做各种各样的检查;较大的肺结节,也可能只要做些检查,用些药,就可以回归正常的生活啦 。
#超能健康团##健康科普排位赛##医师报超能团#
- 健康|女子意外确诊甲状腺结节,是“生姜”惹的祸?医生辟谣,说出实情
- 1.2厘米的大磨玻璃结节未必是肺癌,反而小结节是原位癌,需警惕
- 63岁大爷患甲状腺结节,通过吃“黄瓜”散结,结果如何?不妨了解
- 肺结节科普系列|肺结节患者,到底该怎么随访?
- 饮食养生|发现胸部有结节?可多吃“二物”,助疏通肿块,为女人的健康护航
- 肺结节|查出肺结节,一定要进行随访吗?肺结节患者,日常如何调养?
- 肺结节的随访时间到底要多久?
- 体检|体检查出甲状腺结节,还能吃海鲜吗?什么食物需要忌口?
- 甲状腺结节患者,多走路有助结节消散?提醒:做好两件事或许更好
- 肺实性结节6mm,经中药治疗10月后,完全消失
