死地只有一招可以破解!脑组织被挤变形?这种快速置人于死地的危重状态

文章图片
壹
“季医生 , 季医生 , 十床的瞳孔大了!”护士急促的呼叫声让深夜十点脑科重症办公室的寂静瞬间破灭了 。
轮转医生小童第一次看见身形略胖的季医生显出了从未见过的敏捷 , 快速冲到床边 , 掏出瞳孔笔 , 飞快检查了病人两侧的瞳孔 。
“一侧瞳孔散大!对光反射消失!”季医生表情严肃 , 一道又一道口头医嘱迅速发出 。
“马上联系CT室 , 做急诊的头颅CT!”
“甘露醇125ml 静脉快速滴注!”
“床头抬高30度!”
此时 , 病人出现了呕吐 , 呼吸变得浅了 , 心率也慢了下来 。
“马上插管!”

文章图片
在护士熟练的配合下 , 季医生只花了几分钟就完成了气管插管 , 接上了呼吸机 , 在呼吸机的辅助下 , 病人的呼吸情况得到了改善 。
很快 , 护工推着平车 , 在医生护士的陪同下 , 完成了对这个病人的急诊头颅CT检查 。

文章图片
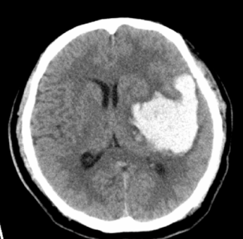
CT的影像让大家一惊 , 脑出血 ,巨大的血肿已经造成了中线的移位、一侧侧脑室的受压 。
季医生立刻联系了神经外科医生会诊 , 急诊手术!季医生此刻像是变了一个人 , 平时稳重的样子在此时消失的无影无踪 , 一边不时抬头看着时间 , 一边不停在督促备血 , 理发 , 做手术标记 , 完善手术前谈话 , 联系急诊的手术室……直到病人被推进手术室 , 季医生抬头看了看时钟 , 才长长出了一口气 , 仿佛如释重负 。
刚刚入科的小童 , 好奇的问:“季老师 , 刚才你干嘛老是盯着时间看啊?这么着急?你给我讲讲吧!”
季医生坐下来 , 喝了一口水 , 调出了病人的CT , 给小童上起了课:
“这个病人刚刚出现的状态我们叫脑疝 ,是神经重症最为危重的状态之一 , 如果不及时处理 , 会造成很严重的后果 , 导致脑死亡或者病人的死亡 。
脑疝的形成是由于颅内局部或全部的压力增高 , 比如肿瘤、出血、大面积的脑梗塞、外伤等 ,造成脑组织移位并被挤进硬脑膜裂隙或枕骨大孔中 , 并压迫脑干、脑神经和血管及阻塞脑脊液循环 , 产生一系列紧急症状 。

文章图片
脑疝是脑水肿、颅内压增高的严重后果 , 脑疝又反过来加重脑水肿、颅内压增高 , 从而形成恶性循环 。
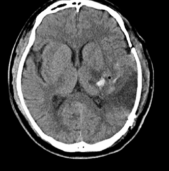
病人出现脑疝的时候 , 常常会有呼吸 , 心率以及血压的异常 , 也可以出现瞳孔的变动 , 这些其实是大脑在向我们预警-----你看这张片子像不像一张既愤怒又沮丧的脸?

文章图片

文章图片
脑疝如果不加以控制 , 脑干就会出现极为严重的损害 , 生理调节失效 ,最突出的症状是呼吸及循环功能衰竭 , 深度昏迷 , 血压剧烈波动并逐渐下降 , 体温下降 , 瞳孔两侧散大而固定 , 四肢肌张力消失 。 此期如若经抢救无效 , 大多为呼吸首先停止 , 继之心跳停止而死亡 , 这个时候即便你花了很大代价把病人拉回来 , 病人也会出现脑死亡——brain death 。
所以 , 对于脑疝我们必须第一时间发现 , 第一时间处理 , 第一时间解决颅内压力升高的问题 。 一般我们有几种方法:
①缩减脑体积:也就是应用药物脱水;
- 大妈聊事|西拉米近照疑摆拍!种菜土与砖都是新的,只有肿胀的腕关节最真实
- 摇摆的红树叶|有的时候想见一个人只有梦里,因为你知道现实中你们没有可能
- 麦熟天|拨开云翳,滤去浮躁,冬之初,我看到了静蓝至极的,只有日月的天!
- 雁楚谈爱|DWG夺冠后,韩服奖励尽显“寒酸”?竟然只有寥寥几款皮肤打折!
- 小林谈人生|人生匆匆几十年,陪到自己最后的都是自己,只有自己
- 新资讯|英国女星凯拉·奈特利:全世界“看脸”,只有模特和失足妇女比男性挣得多
- 中国好声音|中国好声音:之所以发生这令人意外的一幕,只有一个原因
- 风平浪静|汇聚国内大银幕实力派,电影节一票难求的《风平浪静》为何只有6.6分
- 游姿|谁说只有在专业赛场上才能看见高超的球技和优美的游姿?来这里,让你一次饱眼福!
- 有爱家居|第四代住房真的好吗?826套房屋全部卖空,只有10户入住!
