死地只有一招可以破解!脑组织被挤变形?这种快速置人于死地的危重状态( 二 )
②减少脑脊液量:如做引流的手术;
③减少脑血流量 , 可以应用低温技术等;
④手术治疗 , 去除病因 , 比如清除血肿 , 切除肿瘤等等 。
但不管哪一种方法 ,必须快 , 只有最快地去降低颅内的压力 , 减轻对神经细胞的损害 , 这个病人才能有机会存活 , 也才有可能恢复得越好 。 这个时候 , time is life , time is brain 。
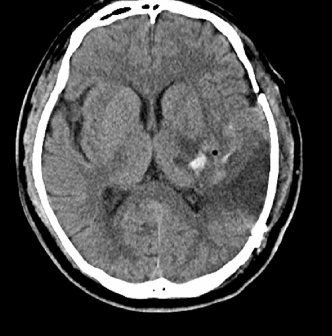
手术做的很顺利 , 病人回到了监护室 , 手术后的CT复查也让手术医生以及季医生非常满意 。 小童看着术后的片子 , 感觉大脑痛苦的表情也有所缓解 。

文章图片

文章图片
贰
小童很开心病人的手术效果 , 但是季医生却还是小心翼翼地待在病人床边 , 仔细观察着病人的瞳孔 , 调整着呼吸机参数 , 评估生命体征 , 表情依然显得严肃而紧张 。
小童问:“季医生 , 手术很顺利 , 病人应该会好起来吧?”
季医生摇摇头:“没那么简单 , 我们神经重症医生的工作还有很多要做 , 比如……”季医生指着床边的一个小仪器 , 继续解释 , “我们必须控制好病人手术后的颅内压 , 以及血压、体温、血糖等 , 同时还要防治各种并发症 , 我们常说脑子是人体的司令部 , 脑子不保护好 , 就会影响到全身各个器官 。 我们的工作还很艰巨呢!“

文章图片
颅内压检测设备

文章图片
颅脑与全身各个器官密切相关
忙碌了一阵 , 等病人的情况比较稳定了 , 季医生给小童又讲起了课 。 原来这位患者 , 本身的疾病是 脑卒中 , 脑疝也是由脑卒中引起的紧急状况 。 而脑卒中 , 则是一个古老的疾病 。
现在医学的祖先希波克拉底把它命名为Apoplexy , 意思是“被打击或被打倒” , 后来逐步演变 , 变成叫stroke 。 而中医学的老祖宗则命名为‘中风’ , 现在我们学术的术语称为卒中 , 这个词出自明代医家楼英 , 意思是‘卒然不省人事 , 全如死尸 , 但气不绝 , 脉动如故……”

文章图片
现代医学对于卒中的治疗往往是综合性治疗 ,需要神经内科、神经外科以及神经重症监护室的团队协作才能顺利完成 。
季医生停顿了一下 , 继续说:“根据华裔脑血管病专家张和教授写的文章 , 我们中国古代的扁鹊还是我们神经重症医生的鼻祖呢!”
小童显得有点惊讶 , 也很好奇 , 说:“真的么?季医生 , 你快和我说说!”

文章图片
根据《史记?扁鹊仓公列传》的记载 , 一次扁鹊来到虢国行医 , 发现虢国太子已经染急病 ‘身亡’半日了 , 但尚未入葬 。 扁鹊通过仔细查看 , 发现太子‘耳鸣而鼻张 , 循其两股以至於阴 , 当尚温也’ , 认为太子并没有死亡 , 通过针灸和药物治疗了二十天后 , 太子便完全康复了 。
根据太子的这些表现 , 现代人推断太子可能是出现了脑血管意外 , 也就是学术上说的‘卒中’ 。 ”
中国近几十年来的考古 , 在山东大汶口、新疆吐鲁番、青海民和、河南安阳和黑龙江泰来等地都发现了一些公元前的古代头骨 , 留有开颅手术印记 , 通过科学的手段发现 , 这些接受过开颅手术的病人在手术后还存活了一段时间 , 这也许说明 神经重症监护室的医生是一个具有悠久历史的职业 。
- 大妈聊事|西拉米近照疑摆拍!种菜土与砖都是新的,只有肿胀的腕关节最真实
- 摇摆的红树叶|有的时候想见一个人只有梦里,因为你知道现实中你们没有可能
- 麦熟天|拨开云翳,滤去浮躁,冬之初,我看到了静蓝至极的,只有日月的天!
- 雁楚谈爱|DWG夺冠后,韩服奖励尽显“寒酸”?竟然只有寥寥几款皮肤打折!
- 小林谈人生|人生匆匆几十年,陪到自己最后的都是自己,只有自己
- 新资讯|英国女星凯拉·奈特利:全世界“看脸”,只有模特和失足妇女比男性挣得多
- 中国好声音|中国好声音:之所以发生这令人意外的一幕,只有一个原因
- 风平浪静|汇聚国内大银幕实力派,电影节一票难求的《风平浪静》为何只有6.6分
- 游姿|谁说只有在专业赛场上才能看见高超的球技和优美的游姿?来这里,让你一次饱眼福!
- 有爱家居|第四代住房真的好吗?826套房屋全部卖空,只有10户入住!
