去年12月,成都中医药大学附属医院接诊了一名年轻男性患者小刘(化名),自述心口闷痛,医生怀疑是心梗,立即启动胸痛中心预案流程。
检查结果提示“胸前导联T波高耸(心肌梗死超急性期改变)”,极可能是冠心病中危害最大的心肌梗死,也是心内科最危急、最要命的疾病。
“多年轻啊,才21岁。”接诊医生李燕伟不禁发出感叹。
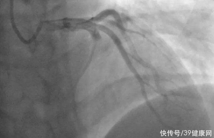
随后,医生给他进行了第二次心电图检查,提示ST段抬高明显,心肌损伤标志物也开始升高,术前的冠脉造影提示“血管严重堵塞”。为了挽救生命,医生立即做好手术准备。
文章插图
图源:红星新闻
随后小刘被紧急推入了介入导管室,经过1小时手术,医生抽出了大大小小共10块血栓,最大的一块把导管都堵了,只能反复抽吸。
同时,医生还使用抗凝药物进行溶栓,尽量将残存血栓解决干净。
文章插图
图源:红星新闻
术后造影提示,小刘的冠脉血流恢复情况良好。从确诊到手术结束,一共只花了1个小时。
一、血栓危害不可小视血栓似乎离年轻人很遥远,但北京医院心内科李康表示,我国20岁以上成年人中,约60.5%的冠心病和脑卒中死亡与心血管指标不达标有关。血栓像塞子一样堵塞血管,导致相关脏器失去血液供应,可造成突然致残或死亡。
血栓疾病通常分为两种:动脉血栓栓塞和静脉血栓栓塞。
动脉血栓:血块堵在动脉血管中,即常说的心梗、脑梗等。
静脉血栓:血块堵在静脉血管中,发生率远高于动脉血栓。静脉血栓主要累及下肢静脉,其中下肢深静脉血栓最常见,也可能引起急性心肺功能障碍、呼吸困难、胸痛、咳血、晕厥,甚至猝死。
文章插图
二、这种血型或更可能得血栓【 深静脉血栓|21岁突发心梗,医生掏出10块血栓!提醒:血栓喜欢“吃”3种食物】近年来有研究者发现,血型与血栓可能具有相关性,某些血型发生血栓的概率更高。
《Circulation(循环)》一项基于150万欧洲人群的研究显示,AB型发生血栓的风险可能是所有血型中最高的。分析表明,AB血型人群发生血栓的风险比O型血高4%,其中脑卒中的发生风险比O型血增加20%。AB血型是血栓的一大重要风险因素,约占血栓整体病因的20%。
文章插图
O型血与其他血型的对比后发现,O型血发生下肢深静脉血栓的风险低1.92倍。在心肌梗死和脑卒中的动脉血栓风险程度上,非O型血与O型血的对比虽不明显,但非0型血仍略高于O型血人群。
三、有没有血栓,3个症状一看便知血栓形成,我们会有明显感觉吗?并没有。就如开篇的小刘,身上大小10处血栓,也只是感觉胸闷而已。那么我们如何在血栓初期,发现它呢?做好血栓预防,就要关注身体的这些信号。
1、眩晕、头痛
突然感到一阵眩晕,眼前一黑,失去平衡,四肢协调能力差,甚至昏厥,是脑血栓最为常见的先兆,发展到后期还可能引起头痛。任何剧烈头痛,伴有昏迷、嗜睡,就要引起警惕。
文章插图
2、四肢麻木、肿胀
血栓导致供血不足,四肢会出现麻木、疼痛感,生活中无故出现腿疼、压迫、麻木等,一定要警惕。此外,血栓在静脉中形成,血液无法回流到心脏,可导致下肢水肿,常见于膝盖以下部位。
3、睡觉流口水、哈欠不断
脑血栓会造成咽腔局部肌肉功能不协调,进而出现单侧吞咽功能障碍,患者会不自觉流口水,睡觉时头侧向一边。除了流口水,还可出现过言语不清晰、单侧肢体不适、反应迟缓、频频打哈欠等症状,很多人以为是“睡眠不好”。
四、保护血管,远离3种食物血管“堵”与诸多因素有关,今天我们从“吃”的角度,告诉大家如何有效预防血栓。
高盐
高盐饮食与心血管代谢疾病、冠心病死亡、高血压性心脏病死亡、卒中死亡的风险增加均有关,日常饮食要控制盐的摄入量,尤其是富含“隐藏盐”的食物,如鸡精、酱油、蜜饯、火腿肠等。
油炸
油炸食物等高脂肪食品均会引起血脂升高,长时间食用还会诱发动脉粥样硬化,进一步发展成血栓。除了油炸食物,我们也要小心咕噜肉、糖醋里脊、干煸兔肉、铁板鱿鱼、干煸豆角等看似不油腻的菜肴。
- 补血|曾经深信不疑的养生知识,竟然都是错的?
- 又一“李子柒”爆红:逃离深圳12年,没想到她活成这样
- 公立医院|深圳试点互联网销售处方药
- 腘动脉|血栓遍布全身动脉大爷险截肢
- Swisse|Swisse斯维诗深耕营养健康领域,助力全民健康时代发展
- Vlog|IG三叉戟后台集结,拥抱握手,感情依旧很深,阿水的压力最大
- 销售|深圳将试点互联网处方药销售,慢病患者可就近取药
- 大隐|下肢静脉曲张怕开刀?“射频消融闭合术”带来微创新选择
- 异样|99%的血栓无征兆!提醒:手脚若出现这3个异样,别不当回事
- 心机深的人不说,却往往有的17个表现!具备一半,就称得上高手
