【肺部|大伯肺里刮“台风”?竟然已是癌症晚期】全文共1058字 , 阅读大约需要2分35秒 。
65岁的浙江丽水人张伯(化名)
因为咳血症状到医院检查
然而
肺部CT结果显示
他的双肺里出现了好多圈圈
就像是多个“台风”一起来袭
这是什么情况?
65岁大伯肺里都是“台风”
却不知“风从何处来”
65岁的张伯 , 早已退休在家的他却怎么也闲不住 , 每天在自家院子里养养鸡、种种菜 , 时不时给儿子女儿送一些“绿色”农产品去 , 日子过得倒也充实 。
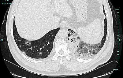
2020年5月左右 , 一向身体很好的张伯却无缘无故出现了咳血症状 , 当地医院肺部CT检查结果显示 , 他双肺布满了圈状的病灶 , 看过去就像是一个个白色的圆圈 , 大小不一 , 最大的有手镯那么大 , 共计有七八个 。
文章插图
紫色圈里均为病灶
这奇怪的表现让当地医生犯了愁 , 进一步气管镜检查后 , 并未发现肿瘤细胞 , 于是诊断为肺炎 , 给张伯开了抗生素消炎药 , 并要求他每3个月复查 。
张伯吃了3个月的药 , 感觉咳血情况好了一些 , 但复查结果显示他肺部的“圈圈”更大 , 数量也变多了 。 治疗无效?
多学科专家一起探案
终于发现了罪魁祸首
之后一家人来到浙大一院 , 在完善了肺部增强CT、PET-CT、腹部CT等检查 , 医生发现张伯双肺内最大的圈已经有羽毛球拍大小 。 由呼吸内科组织 , 感染病科、放射科、PET中心、病理科等多位资深专家进行了多学科会诊 。
经过多位专家抽丝剥茧般地推理、分析后 , 考虑张伯肺部的病灶应该还是肿瘤 , 决定再对张伯进行肺部穿刺和气管镜检查 , 但对穿刺也提出了更高要求——必须要穿到病灶的正中 , 也就是“圈圈”的中间 。
终于 , 这次穿刺结果的病理报告 , 证实了专家的判断 , “罪魁祸首”显出了原形——肺腺癌 。
常见癌症的罕见“外貌”
极易误诊延误治疗
肺部腺癌是常见的肺部恶性肿瘤 , 约占肺癌的40%—55% , 初期可能完全没有症状 。 不幸的是 , 张伯的肺腺癌已经发展到晚期 , 双肺内多发转移 , 并且因未得到及时诊断 , 病灶越来越大、越来越多 , 相当于肺里面全都是肿瘤了 。
那是什么原因 , 让张伯肺部腺癌呈现“圈状” , 并且穿刺都未发现肿瘤细胞?
“这是非常少见的肺炎样肺癌 , 一般来说 , 肿瘤病灶都是实心 , 就算形态不一 , 都较容易判断 。 但这位患者的腺癌肿瘤细胞有分泌粘液的功能 , 分泌出的粘液将肿瘤包裹起来了 , 就在影像学上呈现出圈状 。 一般这种分泌型肿瘤常见于消化道 , 肺部非常少见 , 很多医师可能都没遇到过 , 容易错认为肺炎 。 ”医生说 。
同时 , 由于分泌型肿瘤周围一大圈都是粘液 , 穿刺如果不够深入的话 , 相当于就只取到了外围的粘液 , 没有取到肿瘤组织本身 , 使得病理报告不准确 , 也容易造成误诊 。
遗憾的是 , 由于张伯双肺内多发病灶 , 已经无法用手术切除 。 呼吸内科专家团队为他制定了化疗方案 , 目前张伯已接受化疗治疗 , 通过CT复查显示病灶明显缩小 , 咳血症状也明显好转 。
文章插图
经过化疗后 , 张伯病灶明显缩小
专家提醒
肺腺癌是最常见的肺癌之一 , 但往往早期无症状或症状不明显 , 浙大一院专家建议 , 如发现出现轻度阵发性、刺激性咳嗽等与平时完全不同的咳嗽性质或规律 , 或出现不明原因持续性痰中带血、咯血、胸痛等 , 应及时就医 。 同时推荐普通人群 , 也要定期筛查 , 尤其年龄大于40岁者 , 推荐每年进行一次肺部CT检查 。
来源: 黑龙江广播电视台
- 气管镜|爷爷2个月不开窗,肺部“长霉”,专家:冬季也要每天定时开窗户
- 金桔|肺部细菌的“天敌”就是它,过了冬天吃不到,常吃清肺排毒又止咳
- 肺部|这3种白色食物,或能帮你清肺润肺,喜欢抽烟的人,不妨多吃
- 气胸|肺部漏气引发气胸 及时手术改善呼吸
- 疾病|又酸又胀无法下蹲!六旬大伯右腿长出了“鸡蛋”大小的囊肿,4个微创“小孔”根治疾病
- 杭州市红会医院|一根鱼刺,六旬大伯险丧命!这个行为千万别做了
- 患者|危!肺漏气还有大气泡 医生精准“打补丁”,紧急肺部减容救了TA一命
- 烟毒|抽烟的人,吃以下4种水果,排除体内20年烟毒,肺部烟毒不复存在
- 鼻腔|七旬大伯鼻子出血,竟然差点危及生命, 普通病也会“要命”
- 肺部|晨起喝一碗开水冲鸡蛋,不出半月,三个好处将会不请自来
