饭店生意越来越红火,“拼命厨娘”却查出了肺癌
“出院先休息一段时间,但是饭店还是要继续开的,以后就少进后厨了。”在浙江大学医学院附属第一医院普胸外科病房,42岁的章女士(化名)一边整理衣物一边说着以后的打算。笑容满面的她根本看不出刚刚接受了肺癌根治手术,气色恢复得非常好。
“拼命厨娘”却查出了肺癌
章女士是老杭州人,做了一手好菜,早年间在单位食堂做了十几年厨师,5年前在自家小区附近盘下了一间店面开了饭店,尽管自己做了老板娘,但有事没事她还常常会到后厨帮着炒菜。章女士做任何事情都亲力亲为,有“拼命厨娘”的称号,在她的操持下,饭店生意非常红火。
但也许是因为太拼了,章女士忽略了自己的身体变化。前年7月,章女士开始咳嗽,“是那种干咳,也没有流鼻涕没有喉咙痛,应该不是感冒。”她回忆,因为咳得实在难受就想去社区医院配点药,但医生建议她最好去大医院检查一下。章女士便来到浙大一院就诊并预约了检查,拿到体检结果那一刻她却直冒汗,“CT结果说我两侧的肺上都有磨玻璃小结节,右肺上叶的已经有1厘米大了,首先考虑是肺癌,我吓都吓‘死’了。”
经过评估,章女士右肺情况符合手术指征,随后接受了微创肺癌根治术,术后病理报告提示为肺周围型中分化浸润性腺癌。2019年12月,在一次常规复查中,章女士左肺下叶的结节也恶变了,考虑可能是肺癌,经医生评估后再次接受了微创肺癌根治术,目前已经康复出院。

文章插图
章女士怎么也想不通,自己身体挺健康的,怎么就查出了肺结节,还被确诊是肺癌呢?其实,随着肺部CT检查在体检中被重视,越来越多的人在体检中查出肺结节。那么,体检查出肺结节到底要不要紧?肺结节要不要治疗,怎么治疗?今天我们就来说清楚。
体检查出的这些都是什么意思?
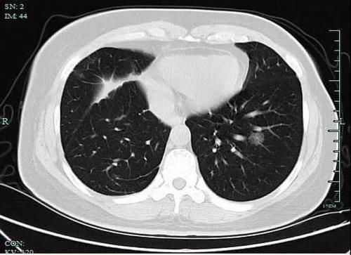
肺结节是肺癌筛查中最常发现的类圆形、密度增高的肺部阴影。如果从大小来看,直径小于5毫米的叫做微小结节,直径在5毫米至10毫米的叫做肺小结节,小于3厘米的为肺结节,而如果直径大于3厘米就是肿块了。

文章插图
造成肺结节的原因可能是炎症,也可能是肿瘤。由炎性假瘤、肺部感染、结核、真菌感染等诸多原因造成的结节通常是良性的,一般不需要外科手术治疗。那么,体检报告上写的磨玻璃样结节、实性结节、增殖灶这些又都是什么?是否都是恶性的?
磨玻璃样结节
磨玻璃样结节是指肺内密度轻微增加,呈模糊的云雾状,但仍能通过病灶看到其内部血管和支气管纹理,就好像透过磨玻璃观察一样。
【 饭店生意越来越红火,“拼命厨娘”却查出了肺癌】磨玻璃样结节在临床上检出率很高,很多人对它的印象似乎都不友好,盛传它就意味着肺癌,事实上并不是所有的磨玻璃样结节都是恶性的,造成它的原因包括感染性病变、肿瘤等多方面,具体都需要经过医生的辨别与诊断。

文章插图
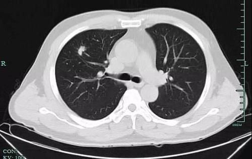
实性结节
实性结节是指肺内圆形或类圆形高密度阴影,在CT下呈现白色的影子,足以掩盖它走行的血管和支气管。实性结节的良恶性较难鉴别,有时候很难光凭一张CT来判断,医生需要充分了解病人的既往病史,比如是否有过肺结核、肺炎、其他肿瘤性疾病等,必要的时候,可以通过PET-CT,肺穿刺,甚至微创手术切除等方式明确诊断。

文章插图
增殖灶
增殖灶一般是肺内良性的结节,多数是由于既往发生过肺部炎症,待感染灶好转吸收后所遗留下来的疤痕。就好比皮肤破损后愈合的伤疤一样,一般不需要担心。

- 怪不得饭店的凉拌菠菜那么好吃?原来做法有诀窍,3分钟就学会
- 先炒青椒还是牛肉?饭店大厨多这一步,难怪炒不老,嫩滑入味!
- 炸鱼时,直接下锅炸就错了饭店都这样做,出锅又酥又脆还不腥气
- 为啥饭店里的包菜格外好吃星级厨师包菜下锅前,先加一勺它
- 在家待客推荐几道特色菜,鲜香可口,一年四季都适合不比下饭店差
- 原来保存放半年的香菜这么简单,教你饭店的诀窍,一年只用买一次
- 忍不住咽口水,“灵魂”酱汁配上这个菜绝了!昆明天气越来越热来点酸辣爽口的
- 在70年代,十块钱在饭店能吃些什么?
- 视力不好多喝这汤,隔三差五喝一碗,明目又护肝,双眼越来越明亮
- 保存香菜,最忌直接放冰箱!教你饭店方法,半年还新鲜,不黄不坏
